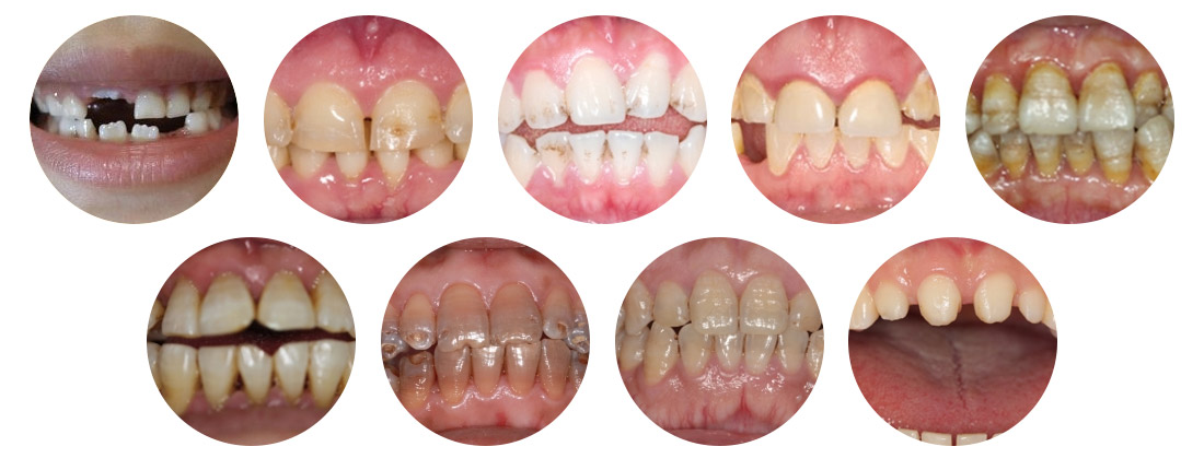
因一口黄黑牙,成为别人的笑谈,始终找不到心仪的爱情;
因畸形牙或牙齿稀疏,没能及时治疗,引发龋齿和牙结石,影响身体健康;
因为牙齿缺损、牙齿不好看,应聘、求职、工作屡屡碰壁……
那些年因“齿”擦肩而过的工作、感情,因“齿”失去的笑容、健康

穗华口腔医院口腔修复科,是目前我院的重点临床科室,同时也是广东省口腔修复医疗、教学和科研中心。并且拥有一支学术界影响力大的人才队伍,十多位专家医师均拥有二三十年的实践经验,硕士以上学历占80%,全部来自暨南大学、中山大学等名牌大学口腔医学院,拥有丰富的理论知识和临床经验、技能操作熟练。
穗华口腔修复科融合了美学理念,结合现代先进的口腔技术,不仅追求传统的口腔保健及修复,更是从牙齿的形态、功能、色泽等美观度进行综合性考虑和设计,重塑完美微笑线。
结合DSD数字美学以及颜面美学进行分析,达到科学与艺术统一。
依据红白美学,确定牙龈高度、长宽比例及牙色,完成微笑线设计。
严密遵循3-3-4-4法则,51道工序,个性化量身定制美齿方案。

穗华瓷仕白数字化贴面采用全新高科技生物材料,应用独特工艺上色,形态完美、色泽自然逼真,最薄可至0.1mm硬度高达400Mpa,每一片贴面在形状、色泽上与患者的牙列脸型完美匹配,整个过程无创、零痛苦,美观大方,经久耐用无需备牙,维护简易。


术前牙齿颜色灰黄黯淡,医生会诊,提供个性化。
DSD数字微笑设计精密计算,精准定制
采用德国VITA比色技术,准确对比牙齿明度和色泽。
牙体预备,严格按照黄金比例并结合个人笑容效果。
采用一套专业的粘接系统,进行瓷仕白贴面粘接。
修复后的牙齿色泽自然、逼真、整洁,牙色提升7个色阶。






瓷仕白贴面化学稳定性好,透明性好,瓷贴面颜色稳定,瓷贴面可配色,色泽接近天然牙,耐磨性能好,有效抵抗咖啡、茶渍、烟渍等色素的附着。


瓷仕白贴面依靠的是高强度树脂粘结提供足够固位力,成功粘结后其附着力很强,且可大幅度地降低唾液的污染,从而保持结合的强度,完全不用担心会脱落。


做完瓷仕白贴面后应养成早晚刷牙、饭后漱口的好习惯,建议使用软毛牙刷,正确的刷牙手法;注意饮食,尽量少喝咖啡、茶以及太硬的食物;另外还要定期到医院进行口腔检查。












