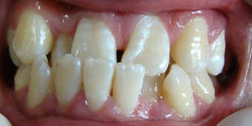
曾经,钢牙套给很多牙齿丑的爱美者带来福音;曾经,不管是在学校还是大马路上,总能看到钢牙妹和钢牙哥。可是,那只是曾经。如今,大街上的钢牙
妹越来越少了,美女帅哥的牙齿却越来越整齐漂亮了。人们依然追求牙齿美观,既矫正牙齿又不用带钢牙套,有这么神奇的事吗?
穗华口腔矫正专家告诉您,为了给众多爱美者提供更好的牙齿矫正服务,我们摒弃传统正畸的缺点,同时实现更好的正畸效果,经过牙科行业领袖的精心
研发,隐形矫正方法顺势而出。
我院在国内将隐适美隐形矫正和时代天使隐形矫正技术引入临床治疗,处理牙齿排列不齐、形态异常等病例,均取得了良好的效果,积累了丰富的经验,
达到国际水平。同时,目前我专科每年诊治省内大量转诊正畸疑难病例,已成为华南地区处理疑难病例及失败后再处理病例的上级专科。
在做正畸前,由于技术限制,很多人对矫正的过程是牙齿是怎么一步步移动到正常位置和矫正的效果,都没有可以提前预知的概念和直观的感受。而在穗 华口腔,有专利研发的方程式(ClinCheck),结合个人脸部轮廓特点精准分析,模拟患者疗程中牙齿移动的每一细节,在矫正前就可以预知矫正效果,每副 牙箍均带有防伪标记及患者名字。
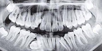
口腔CT犹如医生可透视的眼睛,通过CT
精确测量牙齿错位、歪斜的程度与角度;
同时3D扫描牙槽骨、颌骨等"脸型"骨架,
获得精准的数据。
口腔CT测量的牙齿、牙槽骨数据通过计算机
导入到"正畸软件"进行分析,精确算出矫正
所需的"生物拉力","靶向"到每一颗牙齿上。
也可以把正畸数据直接传送到德国或美国专业
厂家,外国专家组根据您的牙齿、口腔情况
"定制"出大小、拉力、形态最合适的矫治器。
牙齿错位畸牙往往牵拉牙槽骨和颌骨引起脸
型改变。青春期面部骨架尚未定型,因此及
时矫治牙齿,牵引牙槽骨移动,从而使脸型
得以改变。
牙齿错位畸形多因牙齿拥挤,传统的正畸医生
要通过拔牙来缓冲牙齿间隙,据统计拔牙率高
达40%,但穗华隐形技术可以使拔牙率控制在
5%以下,独领国内矫正领域。
由于错位牙、牙槽骨是经过CT扫描测量的,
数据准确;矫正方案是经过正畸软件精确计
算的;因此其矫正方案是科学的,从而缩
短矫正时间。| 美观度 | 弹性透明高分子材料制成,区别于传统钢丝托槽, 透明而轻薄,完全隐形。 |
戴上之后立刻变成"钢牙",影响美观,遮遮 |
| 舒适度 | 矫治过程温和。佩戴舒适,毫无异物感,没有 口腔黏膜摩擦或受伤的烦恼,不会引起口腔内的炎症。 |
佩戴极其不舒适,异物感强烈,很容易损伤 |
| 清洁难 易程度 |
可自行摘戴,随时都能清洁口腔,绝对不会造 成食物残留,避免口腔异味之余。 |
每次摘戴都非常困难,难以清洁口腔,导致 食物残留,容易产生异味。 |
| 可预 测性 |
采用数字化立体正畸技术,精确分析、诊断, 并模拟出矫正以后的预期效果,复诊次数更少。 |
效果难以预见,需要频繁复诊,更影响日常工作。 |
| 矫正 时间 |
矫治时间比传统矫治缩短了1/3,矫正期间工作及生活都很方便。 | 矫正时间漫长痛苦,两年以上才能看到效果。 |
隐形矫正的关键不是矫治器,而是正确、有效的医疗设计及解决方案。因此选择隐形矫正医生及正确的医疗方案是治疗的重中之重,穗华中韩正畸专家能 够根据您的牙齿状况定制适合您的矫正方案。
通过国家权威资质认证穗华正畸中心专家持有口腔医师资格证和美国 Invisalign(隐适美)正畸认证双重资质证书,拥有超过5年以上正畸经 验,谙熟韩国齿科美学修复理念及DSD微笑美学设计,能够根据青少年 不同的牙齿结构,制定个性化的正畸治疗方案。
韩国专业培训韩国穗华国际齿科集团每位正畸医生在上岗前需要赴韩
国总部进行为期一年以上的正畸专业培训,每年通过不少于5次的重要
考核;并在将来的职业中不断的学习历练和提升。

Invisalign隐适美矫正牙齿需要多长时间? 疗程的长短取决于您案例的严重程度,需要由您的牙医来制定。一般案例需要大约为12-18个月。
Invisalign隐适美矫正牙齿有年龄或群体限制吗? lnvisalign隐适美有成人和青少年系列,您可以根据您的年龄进行选择。Invisalign隐适美的病人有不少都是50岁甚至以上的,所以不用担心年龄或群体的问题。
佩戴Invisalign隐适美矫治器时要注意些什么? 佩戴Invisalign隐适美矫治器时请注意以下几点:
1)在佩戴牙齿矫治过程,在您进食或喝水时需要将隐形牙套取下,并请确保在除了
进食、喝水和清洁牙齿的其它时间佩戴您的矫治器;
2)佩戴Invisalign隐适美矫治器时请勿吃糖;
3)佩戴Invisalign隐适美矫治器时请勿抽烟;
4)佩戴Invisalign隐适美矫治器可能会暂时影响某些人的讲话,因此可能需要1-2
天来适应隐形牙套。

穗华口腔医院传承暨南大学109年的人文精髓及暨南大学附属医院的30多年国际口腔医学优势,以韩国EL口腔集团的先进理念为输入,已经成为具有显著口腔专业特色的口腔医院。


穗华口腔拥有华南乃至大中华区一流的专家队伍,齐聚三甲医院20余位医学博士专家、50余位留学德、美、韩等国际口腔医学博士硕士,精专于口腔问题。


在诊疗环境及设备方面,穗华口腔严格执行符合世界牙科联盟(FDI)的诊疗标准,让患者能在私密舒适的一人一诊间的诊疗环境下享受治疗。


穗华口腔医院一直是许多羊城患者的优先选择,在当地一直有着良好的口碑,良好的口碑吸引了众多的患者前来求诊,在穗华口腔工作更能体现从医的价值。