解决门牙缺失的好方法
时间:2015-08-17 17:35:07 来源:未知 作者:穗华口腔医院 阅读量:305
导读
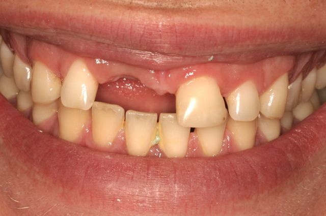
门牙不慎摔坏了,使得整个牙弓的完整性被破坏,还使得邻牙移位、倾斜,没有及时到医院治疗好门牙缺失,这样会给以后的门牙缺失治疗增加失败的几率。作为......
门牙不慎摔坏了,使得整个牙弓的完整性被破坏,还使得邻牙移位、倾斜,没有及时到医院治疗好门牙缺失,这样会给以后的门牙缺失治疗增加失败的几率。作为我们食道的道关卡,门牙缺失是很严重的了,那么解决门牙缺失有什么好方法吗?
门牙缺失
对于成年人来说,由于牙齿的生长发育已经停止,我们建议采用种植牙技术。
穗华口腔3D靶向种植术,3D靶向种植牙技术,是暨南大学多位种植名家多年积累的义齿修复技术和经验,与一系列国际前沿齿科设备结合的产物,应用意大利NewTom曲面断层扫描CBCT技术、德国WIELAND CAD/CAM计算机辅助设计与制作技术、美国Ambulanc笑气镇静镇痛系统、丹麦3shape 3D打印技术及3shape TRIOS激光扫描重建技术等,从5个方面打造穗华种植牙“40年预期留存率”超过90%的“长寿基因”!
* CT3D颌面扫描,定位更精准 * 华南领先牙周科,治好牙周更长寿
* 笑气镇痛更舒适,轻松享受 * 重建咬合更和谐,坚固耐用
种植牙是一项对技术要求比较高端的技术,所以做种植牙一定要选择有医疗保障的大型口腔医院,因为专业,所以放心、宽心。穗华口腔种植系统已被口腔医学界公认为缺牙的修复方式。具有安全无痛、舒适美观、坚固耐用优势。
(版权归穗华口腔医院所有,如需转载请注明文章来源:穗华口腔医院 http://www.62266666.com)
穗华品牌
穗华口腔医院作为暨南大学授权合作医院,是依托国内外权威硕博专家医资和口腔医学优势所建立的一所集临床、教学、科研、预防为一体的现代化口腔专科医院,开创了中国医疗改革创新示范的先河。
快速通道
医院动态
1
2026穗华口腔“一老一小”专利技术节 | 数智化革新 专利矫好牙
2
2026穗华口腔“一老一小”专利技术节 | 守护天然牙 健康全口牙
3
高手交锋——12位医生同台展示正畸病例,专家点评助力临床精进
4
传承九届——穗华口腔以病例为抓手,筑牢正畸人才培养根基
5
穗华口腔十年庆典圆满举办,粤港澳临床医学学会致贺寄望
查看完整动态>
推荐专家
收起
特色诊疗项目
收起






























































