门牙缺失怎么办?
时间:2015-08-17 17:26:21 来源:未知 作者:穗华口腔医院 阅读量:220
导读
门牙就像我们人体的门卫,长期缺失不仅会破坏整个牙弓的完整性,还会影响相邻牙齿,使邻牙移位,严重的还会使脸部变形。拥有一口好的牙齿,能让我们自信......
门牙就像我们人体的“门卫”,长期缺失不仅会破坏整个牙弓的完整性,还会影响相邻牙齿,使邻牙移位,严重的还会使脸部变形。拥有一口好的牙齿,能让我们自信地笑,那么门牙缺失怎么办?
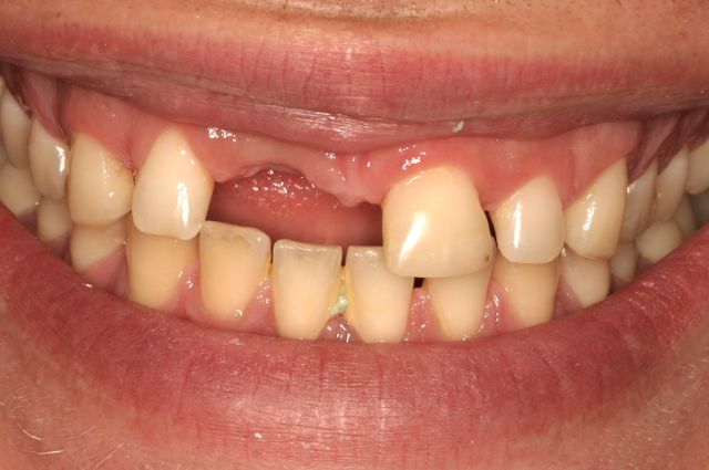
门牙缺失
修复好门牙,重要的是选择对的方法。种植牙和真牙一样包括牙根和牙冠两部分,成功的种植牙外观上完全没有痕迹,因为有牙根所以功能上更牢固,因此更加适合门牙缺失的人。门牙缺失做了种植牙后清洁起来更方便,因为种植牙是仿自然牙,所以清洁种植牙就跟清洁自然牙一样简单,也没有了传统假牙的缺陷。
长时间缺牙,更容易造成不同程度的牙槽骨吸收,牙槽骨吸收导致佩戴有卡环和基托的传统假牙有困难,佩戴传统假牙固位力差,不能发挥假牙的咀嚼功能的患者,需要通过种植牙来恢复正常的咀嚼功能。
种植牙是门牙缺失的修复方式 <http://www.delunyk.com/zzyzx/>,广州穗华口腔引进国外高新技术,让国人在家门口即可享受的种植牙技术。3D靶向种植术:
1、CT3D颌面扫描,定位更精准
2、华南领先牙周科,治好牙周更长寿
3、笑气镇痛更舒适,轻松享受
4、重建咬合更和谐,坚固耐用
广州穗华口腔专家温馨提示:如果您还有其他疑问或需要帮助,还可以点击在线咨询,或者拔打免费电话:020-62266666。百度100遍,不如咨询1次。
(版权归穗华口腔医院所有,如需转载请注明文章来源:穗华口腔医院 http://www.62266666.com)
穗华品牌
穗华口腔医院作为暨南大学授权合作医院,是依托国内外权威硕博专家医资和口腔医学优势所建立的一所集临床、教学、科研、预防为一体的现代化口腔专科医院,开创了中国医疗改革创新示范的先河。
快速通道
医院动态
1
2026穗华口腔“一老一小”专利技术节 | 数智化革新 专利矫好牙
2
2026穗华口腔“一老一小”专利技术节 | 守护天然牙 健康全口牙
3
高手交锋——12位医生同台展示正畸病例,专家点评助力临床精进
4
传承九届——穗华口腔以病例为抓手,筑牢正畸人才培养根基
5
穗华口腔十年庆典圆满举办,粤港澳临床医学学会致贺寄望
查看完整动态>
推荐专家
收起
特色诊疗项目
收起






























































