氟斑牙怎么美白
时间:2015-08-17 09:50:48 来源:未知 作者:穗华口腔医院 阅读量:166
导读
氟斑牙是地区性慢性氟中毒的一种突出症状,不仅影响面部美观,还会影响口腔健康,应及时去除氟斑牙。 穗华口腔医院 专家表示:氟斑牙是无法通过洗牙变白的......
氟斑牙是地区性慢性氟中毒的一种突出症状,不仅影响面部美观,还会影响口腔健康,应及时去除氟斑牙。
穗华口腔医院专家表示:氟斑牙是无法通过洗牙变白的。氟斑牙为什么不能通过洗牙变白呢?因为氟斑牙又叫斑釉。是饮用水中氟含量过高有关的牙齿疾病。氟本身对牙齿具有双重作用。饮用水中氟含量过高产生氟斑牙,过低则形成龋齿,所以一般的氟斑牙都是因为饮用水中的氟含量过高而导致的。
穗华口腔医院专家介绍说,正常的牙齿能通过洗牙还原牙齿的本色,只能洗去牙垢、茶垢、烟垢等外源性因素的着色牙,而像氟斑牙这样的着色牙是无法通过洗牙方式来达到美白效果的。

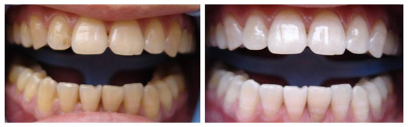
那么,氟斑牙怎么办?冷光美白去除氟斑牙,效果是不错的。
冷光美白是一项流行的牙齿美白技术,它不仅可以去除牙齿表面的色素沉积,同时可进入牙齿深层达到脱色的效果。根据临床实验表明,使用冷光牙齿美白技术,其效果可提高5-14个vita色阶,不仅优于同类产品,更超过家用牙套美白效果30%以上。
冷光美白是一项流行的牙齿美白技术,它不仅可以去除牙齿表面的色素沉积,同时可进入牙齿深层达到脱色的效果。根据临床实验表明,使用冷光牙齿美白技术,其效果可提高5-14个vita色阶,不仅优于同类产品,更超过家用牙套美白效果30%以上。
穗华口腔技术突破:
1、不改变牙齿结构的情况下,15分钟产生美白作用,提高5-15个VITA色阶。
2、氧化剂作用封闭牙本质小管,促使牙釉质新生,美白后更坚固,防龋健齿。
3、对牙龈牙体无伤害,缩短治疗时间,减少张口时长,舒适无痛。
4、美白后不刻意使用对牙齿有损害的物品,美白效果可持续5年以上。
如果您还想了解更多的情况,欢迎在线免费咨询穗华口腔医院专家,或拔打我们的热线:020-62266666,也欢迎您到我们医院现场咨询,穗华口腔专家将竭诚为您服务。
(版权归穗华口腔医院所有,如需转载请注明文章来源:穗华口腔医院 http://www.62266666.com)
穗华品牌
穗华口腔医院作为暨南大学授权合作医院,是依托国内外权威硕博专家医资和口腔医学优势所建立的一所集临床、教学、科研、预防为一体的现代化口腔专科医院,开创了中国医疗改革创新示范的先河。
快速通道
医院动态
1
2026穗华口腔“一老一小”专利技术节 | 数智化革新 专利矫好牙
2
2026穗华口腔“一老一小”专利技术节 | 守护天然牙 健康全口牙
3
高手交锋——12位医生同台展示正畸病例,专家点评助力临床精进
4
传承九届——穗华口腔以病例为抓手,筑牢正畸人才培养根基
5
穗华口腔十年庆典圆满举办,粤港澳临床医学学会致贺寄望
查看完整动态>
推荐专家
收起
特色诊疗项目
收起






























































