黑牙怎么办
时间:2015-08-17 09:26:44 来源:未知 作者:穗华口腔医院 阅读量:319
导读
一口洁白美丽的牙齿让我们变得自信,在社交场合你都可以微笑迷人。可是,难看的黑牙给我们带来了很多烦恼,黑牙会影响个人的自信心。为了掩盖难看的牙齿......
一口洁白美丽的牙齿让我们变得自信,在社交场合你都可以微笑迷人。可是,难看的黑牙给我们带来了很多烦恼,黑牙会影响个人的自信心。为了掩盖难看的牙齿,也许你会羞于开口,露出难看的牙齿总让人觉得不舒服,给我们的生活和工作带来影响。那么,黑牙怎么办?
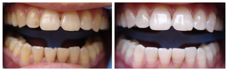
穗华口腔医院专家指出,黑牙的治疗方案:一般对于黑牙至常用的治疗方式有两种;一种是冷光美白技术,还有一种是美容冠。

首先,冷光美白是目前效果至好、至安全快速的牙齿美白技术,美白黑牙只要一小时就能轻松完成,具有高效快速、保护牙齿、舒适无痛、效果持久等优点。针对黑牙、黄牙、四环素牙、氟斑牙、外因性色素牙(咖啡、茶烟渍沉积)、遗传性色素牙等色素牙美白效果显着。
其次,对于重度的黑牙,要想达到根治的效果的话,采用美容冠修复是至好的。美容冠修复重度黑牙效果显着,具有美牙 不拔牙,无痛苦,时间短,牙齿坚固,多年后牙龈不会出现黑线等优点。只要7天到院两次就能修复完成,达到终生的美牙效果。
穗华口腔医院美白技术采用恒温纳米光,是现阶段的牙齿美白技术。它在冷光美白的基础上,首创过氧化氢加硝酸钾和氟化物结合的美白方式,打破了传统冷光美白的局限性,克服了传统冷光美白时牙齿酸痛,美白后牙龈过敏的窘境,具有高效快速、保护牙齿、舒适无痛、效果持久等优点。
选择正规医院,挑选好医师。穗华口腔医院是拥有百年人文底蕴的暨南大学附属口腔医院临床教学医院,是广东省卫生厅批准成立的口腔专科医院,是集口腔诊疗、教学和科研为一体的现代化口腔综合医院,是您看牙的放心信赖之选!
如果您还想了解更多的情况,欢迎在线免费咨询穗华口腔医院专家,或拔打我们的热线:020-62266666,也欢迎您到我们医院现场咨询,穗华口腔专家将竭诚为您服务。
(版权归穗华口腔医院所有,如需转载请注明文章来源:穗华口腔医院 http://www.62266666.com)
穗华品牌
穗华口腔医院作为暨南大学授权合作医院,是依托国内外权威硕博专家医资和口腔医学优势所建立的一所集临床、教学、科研、预防为一体的现代化口腔专科医院,开创了中国医疗改革创新示范的先河。
快速通道
医院动态
1
2026穗华口腔“一老一小”专利技术节 | 数智化革新 专利矫好牙
2
2026穗华口腔“一老一小”专利技术节 | 守护天然牙 健康全口牙
3
高手交锋——12位医生同台展示正畸病例,专家点评助力临床精进
4
传承九届——穗华口腔以病例为抓手,筑牢正畸人才培养根基
5
穗华口腔十年庆典圆满举办,粤港澳临床医学学会致贺寄望
查看完整动态>
推荐专家
收起
特色诊疗项目
收起






























































