冷光美白牙齿后要注意什么
时间:2015-08-17 09:24:18 来源:未知 作者:穗华口腔医院 阅读量:222
导读
牙齿异色,会让许多人封闭自卑。不要以为他们是故作高傲,其实,她们内心也有着难言之隐,那就是牙齿的异色使得她们羞于启齿!即使心情舒畅也要小心翼翼地......
牙齿异色,会让许多人封闭自卑。不要以为他们是故作高傲,其实,她们内心也有着难言之隐,那就是牙齿的异色使得她们"羞于启齿"!即使心情舒畅也要小心翼翼地掩嘴而笑,而不敢开怀地露齿大笑,所以很多人选择去做冷光美白,那么做冷光美白后要注意什么?
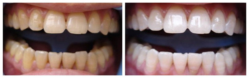
冷光美白是一项正流行于欧美的牙齿美白技术,它不仅可以去除牙齿表面的色素沉积,同时可进入牙齿深层达到脱色的效果。根据临床实验表明,使用冷光牙齿美白技术,其效果可提高5-14个vita色阶,不仅优于同类产品,更超过家用牙套美白效果30%以上。
穗华口腔医院专家指出,做完冷光美白牙齿之后,主要有以下几个注意事项:
1、为防止牙齿在此时吸收更多色素,一星期内,不吃容易染色的食物,比如麻辣火锅、咀嚼槟榔等。
2、治疗后24小时内,必须避免饮用和使用茶、可乐、咖啡、红酒、梅果饮料、有色牙膏、漱口水等同时避免吸烟。
3、建议治疗后24小时内避免冷热饮。
4、定期检查牙齿和洗牙能维持牙齿美白。

目前,冷光牙齿美白技术,由于其安全、快速、立竿见影的达到牙齿美白效果,成为目前公认的有效、安全,也是的牙齿脱色技术。
穗华口腔技术突破:
1、不改变牙齿结构的情况下,15分钟产生美白作用,提高5-15个VITA色阶。
2、氧化剂作用封闭牙本质小管,促使牙釉质新生,美白后更坚固,防龋健齿。
3、对牙龈牙体无伤害,缩短治疗时间,减少张口时长,舒适无痛。
4、美白后不刻意使用对牙齿有损害的物品,美白效果可持续5年以上。
选择正规医院,挑选好医师。穗华口腔医院是拥有百年人文底蕴的暨南大学附属口腔医院临床教学医院,是广东省卫生厅批准成立的口腔专科医院,是集口腔诊疗、教学和科研为一体的现代化口腔综合医院,是您看牙的放心信赖之选!
如果您还想了解更多的情况,欢迎在线免费咨询穗华口腔医院专家,或拔打我们的热线:020-62266666,也欢迎您到我们医院现场咨询,穗华口腔专家将竭诚为您服务。
(版权归穗华口腔医院所有,如需转载请注明文章来源:穗华口腔医院 http://www.62266666.com)
穗华品牌
穗华口腔医院作为暨南大学授权合作医院,是依托国内外权威硕博专家医资和口腔医学优势所建立的一所集临床、教学、科研、预防为一体的现代化口腔专科医院,开创了中国医疗改革创新示范的先河。
快速通道
医院动态
1
2026穗华口腔“一老一小”专利技术节 | 数智化革新 专利矫好牙
2
2026穗华口腔“一老一小”专利技术节 | 守护天然牙 健康全口牙
3
高手交锋——12位医生同台展示正畸病例,专家点评助力临床精进
4
传承九届——穗华口腔以病例为抓手,筑牢正畸人才培养根基
5
穗华口腔十年庆典圆满举办,粤港澳临床医学学会致贺寄望
查看完整动态>
推荐专家
收起
特色诊疗项目
收起






























































