牙齿美白用什么方法好
时间:2015-08-14 16:12:43 来源:未知 作者:穗华口腔医院 阅读量:319
导读
一口洁白牙齿是每个人都希望拥有的,都想在社交中让自己闪亮夺人,可是现实不尽如人意,牙齿颜色问题是否困扰着你,看银幕上明星的洁白牙齿只有羡慕的分......
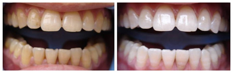
一口洁白牙齿是每个人都希望拥有的,都想在社交中让自己闪亮夺人,可是现实不尽如人意,牙齿颜色问题是否困扰着你,看银幕上明星的洁白牙齿只有羡慕的分了,随着牙齿美白技术的出现,一口洁白的牙齿不再是梦想,那牙齿美白有效的方法是什么?
穗华口腔医院专家介绍,冷光牙齿美白技术是将波长介于480-520nanometer之间的高强度蓝光,经由光纤传导,通过两片30多层镀膜的特殊光学镜片,再经过特殊光学处理,隔除一切有害的紫外线和红外线,将过氧化氢和直径为20纳米的二氧化硅等为主体的美白剂,快速产生氧化还原作用。透过牙小管,去除牙齿表面及深层附着的色素,从而达到美白的效果。

穗华口腔医院冷光美白技术能够美白各种内源性和外源性的异色牙齿,对于一些一般牙齿美白方法所无法处理的中重度四环素牙、氟斑牙也有明显的疗效。而且冷光美白的操作时间短,低温冷光,完全避免了操作过程中对牙神经的刺激。首创过氧化氢加硝酸钾和氟化物结合的美白方式,打破了传统冷光美白的局限性,克服了传统冷光美白时牙齿酸痛,美白后牙龈过敏的窘境。
选择正规医院,挑选好医师。穗华口腔医院是拥有百年人文底蕴的暨南大学附属口腔医院临床教学医院,是广东省卫生厅批准成立的口腔专科医院,是集口腔诊疗、教学和科研为一体的现代化口腔综合医院,是您看牙的放心信赖之选!
如果您还想了解更多的情况,欢迎在线免费咨询穗华口腔医院专家,或拔打我们的热线:020-62266666,也欢迎您到我们医院现场咨询,穗华口腔专家将竭诚为您服务。
(版权归穗华口腔医院所有,如需转载请注明文章来源:穗华口腔医院 http://www.62266666.com)
穗华品牌
穗华口腔医院作为暨南大学授权合作医院,是依托国内外权威硕博专家医资和口腔医学优势所建立的一所集临床、教学、科研、预防为一体的现代化口腔专科医院,开创了中国医疗改革创新示范的先河。
快速通道
医院动态
1
2026穗华口腔“一老一小”专利技术节 | 数智化革新 专利矫好牙
2
2026穗华口腔“一老一小”专利技术节 | 守护天然牙 健康全口牙
3
高手交锋——12位医生同台展示正畸病例,专家点评助力临床精进
4
传承九届——穗华口腔以病例为抓手,筑牢正畸人才培养根基
5
穗华口腔十年庆典圆满举办,粤港澳临床医学学会致贺寄望
查看完整动态>
推荐专家
收起
特色诊疗项目
收起






























































