冷光美白牙齿会不会疼
时间:2015-08-14 16:26:40 来源:未知 作者:穗华口腔医院 阅读量:252
导读
由于吸烟和不良的口腔卫生习惯,可能会导致牙齿发黄变黑,每当开口大笑时,给人的印象都会大打折扣,因此,美白牙齿是必须的。冷光美白牙齿是一种新兴的......
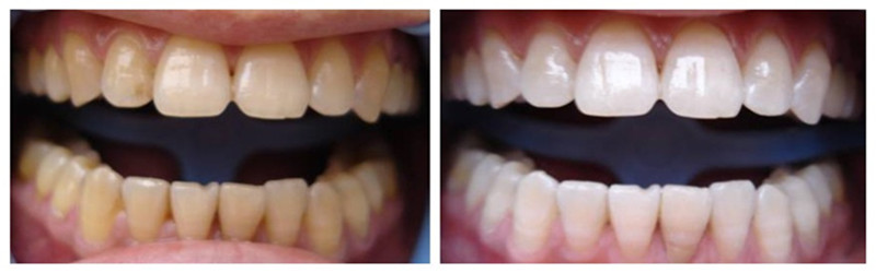
由于吸烟和不良的口腔卫生习惯,可能会导致牙齿发黄变黑,每当开口大笑时,给人的印象都会大打折扣,因此,美白牙齿是必须的。冷光美白牙齿是一种新兴的美白牙齿的方法,那么,冷光美白会疼吗?
穗华口腔医院专家说,很多美容手术或多或少有略微的疼痛感,但一般而言,冷光美白技术过程都不会造成疼痛。唯有极少数人可能在治疗后有稍微不适,短内即可消逝。
冷光美白牙齿技术是安全的。冷光美白牙齿采纳低温冷光,完全幸免了操纵过程中对牙神经的不适当操纵,亲水性药物和完全不接触牙龈的美白过程,不会对牙齿造成任何损伤,治疗时会使用牙龈爱护剂来隔离软组织以幸免损伤牙龈,且治疗过程中医师会根据患者反应调整治疗参数,所以此治疗方法安全可靠,无副作用。

穗华口腔医院美白技术采用恒温纳米光,是现阶段的牙齿美白技术。它在冷光美白的基础上,首创过氧化氢加硝酸钾和氟化物结合的美白方式,打破了传统冷光美白的局限性,克服了传统冷光美白时牙齿酸痛,美白后牙龈过敏的窘境,具有高效快速、保护牙齿、舒适无痛、效果持久等优点。
穗华口腔医院温馨提示:冷光美白牙齿的调理只须要在治疗后24小时内,幸免饮用茶、咖啡、可乐、红酒、莓果类饮料、有色漱口水及食用深色食品等,尽量幸免吸烟。
选择正规医院,挑选好医师。穗华口腔医院是拥有百年人文底蕴的暨南大学附属口腔医院临床教学医院,是广东省卫生厅批准成立的口腔专科医院,是集口腔诊疗、教学和科研为一体的现代化口腔综合医院,是您看牙的放心信赖之选!
如果您还想了解更多的情况,欢迎在线免费咨询穗华口腔医院专家,或拔打我们的热线:020-62266666,也欢迎您到我们医院现场咨询,穗华口腔专家将竭诚为您服务。
(版权归穗华口腔医院所有,如需转载请注明文章来源:穗华口腔医院 http://www.62266666.com)
穗华品牌
穗华口腔医院作为暨南大学授权合作医院,是依托国内外权威硕博专家医资和口腔医学优势所建立的一所集临床、教学、科研、预防为一体的现代化口腔专科医院,开创了中国医疗改革创新示范的先河。
快速通道
医院动态
1
2026穗华口腔“一老一小”专利技术节 | 数智化革新 专利矫好牙
2
2026穗华口腔“一老一小”专利技术节 | 守护天然牙 健康全口牙
3
高手交锋——12位医生同台展示正畸病例,专家点评助力临床精进
4
传承九届——穗华口腔以病例为抓手,筑牢正畸人才培养根基
5
穗华口腔十年庆典圆满举办,粤港澳临床医学学会致贺寄望
查看完整动态>
推荐专家
收起
特色诊疗项目
收起






























































