牙齿美白要多少钱
时间:2015-08-14 15:53:08 来源:未知 作者:穗华口腔医院 阅读量:230
导读
美丽自信的笑容从牙齿开始,洁白的牙齿让你的笑容不留遗憾。可是生活中很多人因为吸烟,喝咖啡,喝浓茶导致牙齿黑黄,所以美白牙齿就是必须的了,那么做......
美丽自信的笑容从牙齿开始,洁白的牙齿让你的笑容不留遗憾。可是生活中很多人因为吸烟,喝咖啡,喝浓茶导致牙齿黑黄,所以美白牙齿就是必须的了,那么做个牙齿美白需要多少钱呢?
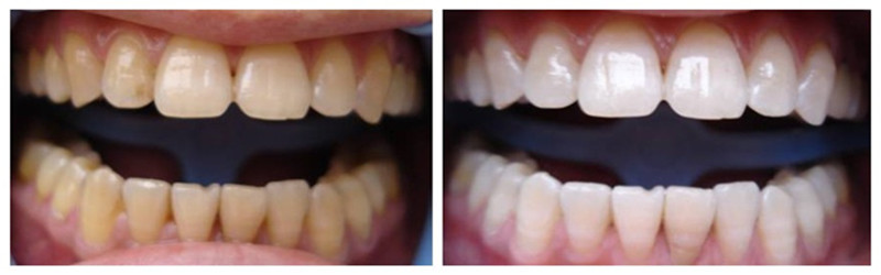
穗华口腔医院专家介绍说,牙齿美白是根据不同的牙齿情况,采用不同的牙齿美白方法,导致做牙齿美白的价钱也就不一样:
一、使用专门的美白药剂,它是通过氧化还原反应使牙齿脱色,此方法操作过程约一小时,安全可靠,对于除重度四环素牙、氟斑牙外的牙齿均有较好的疗效外,可维持两年以上的时间。
二、通过仿生美容冠修复的方法,可以解决重度的牙齿染色问题,并且可以改变牙齿的畸形,但需要磨除一定的牙体组织,它的美白效果很好。
三、采用冷光美白技术。冷光美白技术是一项正流行于中韩的兴的牙齿美白技术,它将高强度冷光定点照射,它不仅可以去除牙齿表面的色素沉积,还能够去除深层所附着的色素,美白效果持久有效,仅需短短的15分钟,即可让您拥有一口润白亮泽的牙齿。具有持久、自然、快速、专业、安全等五大优势。

穗华口腔医院美白技术采用恒温纳米光,是现阶段的牙齿美白技术。它在冷光美白的基础上,首创过氧化氢加硝酸钾和氟化物结合的美白方式,打破了传统冷光美白的局限性,克服了传统冷光美白时牙齿酸痛,美白后牙龈过敏的窘境,具有高效快速、保护牙齿、舒适无痛、效果持久等优点。
选择正规医院,挑选好医师,给自己的牙齿矫正。穗华口腔医院是拥有百年人文底蕴的暨南大学附属口腔医院临床教学医院,是广东省卫生厅批准成立的口腔专科医院,是集口腔诊疗、教学和科研为一体的现代化口腔综合医院,是您看牙的放心信赖之选!
如果您还想了解更多的情况,欢迎在线免费咨询穗华口腔医院专家,或拔打我们的热线:020-62266666,也欢迎您到我们医院现场咨询,穗华口腔专家将竭诚为您服务。
(版权归穗华口腔医院所有,如需转载请注明文章来源:穗华口腔医院 http://www.62266666.com)
穗华品牌
穗华口腔医院作为暨南大学授权合作医院,是依托国内外权威硕博专家医资和口腔医学优势所建立的一所集临床、教学、科研、预防为一体的现代化口腔专科医院,开创了中国医疗改革创新示范的先河。
快速通道
医院动态
1
2026穗华口腔“一老一小”专利技术节 | 数智化革新 专利矫好牙
2
2026穗华口腔“一老一小”专利技术节 | 守护天然牙 健康全口牙
3
高手交锋——12位医生同台展示正畸病例,专家点评助力临床精进
4
传承九届——穗华口腔以病例为抓手,筑牢正畸人才培养根基
5
穗华口腔十年庆典圆满举办,粤港澳临床医学学会致贺寄望
查看完整动态>
推荐专家
收起
特色诊疗项目
收起






























































