地包天怎么治疗
时间:2015-08-14 15:41:15 来源:未知 作者:穗华口腔医院 阅读量:159
导读
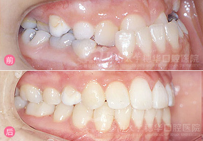
龅牙、牙齿不齐等牙齿问题是我们经常听到的,对于地包天可能听得比较少,地包天表现为前牙反牙合、部分合并后牙近中错牙合,颜面可表现为下颌前突,上颌......
龅牙、牙齿不齐等牙齿问题是我们经常听到的,对于地包天可能听得比较少,地包天表现为前牙反牙合、部分合并后牙近中错牙合,颜面可表现为下颌前突,上颌发育不足的凹形侧面型。严重影响面部美观和口腔健康,那么地包天怎么矫正?
穗华口腔医院在国内率先将隐适美隐形矫正和时代天使隐形矫正技术引入临床治疗,处理牙齿排列不齐、形态异常等病例,均取得了良好的效果,积累了丰富的经验,达到国际领先水平。同时,目前我专科每年诊治省内大量转诊正畸疑难病例,已成为华南地区处理疑难病例及失败后再处理病例的上级专科。

隐适美牙套上有螺纹图案,具有哑光效果,牙齿即使在戴上牙套后也不会被发觉,实现真正的“隐形”效果。隐适美治疗方案包括一系列无托槽隐形矫治器,厚度小于1mm,如同隐形眼镜,每套矫治器均量齿定做,每两周进行更换。随着矫治器的更换,牙齿逐步移动,直至矫正到方案所设计的理想位置。
时代天使矫治器光滑透明,可自行摘戴, 与传统固定矫治相比,佩戴美观舒适,口腔卫生易于维护,不影响进食、刷牙、社交活动等日常生活。
穗华口腔医院专家介绍,牙齿地包天矫正的注意事项:
1、牙齿矫正期间及矫正后2年内不要吃过硬的食物,如核桃、骨头、硬豆等。
2、要防止牙齿受到外力的撞伤,一旦撞伤应立即到医院处理。
3、饭后及时漱口,每天早晚用软毛牙刷或棉花条清洗牙齿。
4、应定期来院进行牙齿复诊。
选择正规医院,挑选好医师,给自己的牙齿矫正。穗华口腔医院是拥有百年人文底蕴的暨南大学附属口腔医院临床教学医院,是广东省卫生厅批准成立的口腔专科医院,是集口腔诊疗、教学和科研为一体的现代化口腔综合医院,是您看牙的放心信赖之选!
如果您还想了解更多的情况,欢迎在线免费咨询穗华口腔医院专家,或拔打我们的热线:020-62266666,也欢迎您到我们医院现场咨询,穗华口腔专家将竭诚为您服务。
(版权归穗华口腔医院所有,如需转载请注明文章来源:穗华口腔医院 http://www.62266666.com)
穗华品牌
穗华口腔医院作为暨南大学授权合作医院,是依托国内外权威硕博专家医资和口腔医学优势所建立的一所集临床、教学、科研、预防为一体的现代化口腔专科医院,开创了中国医疗改革创新示范的先河。
快速通道
医院动态
1
2026穗华口腔“一老一小”专利技术节 | 数智化革新 专利矫好牙
2
2026穗华口腔“一老一小”专利技术节 | 守护天然牙 健康全口牙
3
高手交锋——12位医生同台展示正畸病例,专家点评助力临床精进
4
传承九届——穗华口腔以病例为抓手,筑牢正畸人才培养根基
5
穗华口腔十年庆典圆满举办,粤港澳临床医学学会致贺寄望
查看完整动态>
推荐专家
收起
特色诊疗项目
收起






























































