地包天怎么矫正
时间:2015-08-14 15:06:44 来源:未知 作者:穗华口腔医院 阅读量:187
导读
地包天严重影响了面部美观,会让人感到无比的尴尬,想要使脸蛋变的更加漂亮怡人,矫正牙齿是必须做的工作,对于地包天,深深的困扰着我们,那么地包天怎......
地包天严重影响了面部美观,会让人感到无比的尴尬,想要使脸蛋变的更加漂亮怡人,矫正牙齿是必须做的工作,对于地包天,深深的困扰着我们,那么地包天怎么矫正呢?
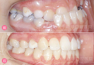
地包天是上下牙弓近远中关系异常,可表现为下颌前突,近中错牙合及前牙反牙合。多由于不良哺乳姿势,乳前牙滞留或早失,上恒切牙先天性缺失,不良习惯、乳尖牙磨耗不足,全身性疾病以及遗传性下颌前突所致。
地包天是上下牙弓近远中关系异常,可表现为下颌前突,近中错牙合及前牙反牙合。多由于不良哺乳姿势,乳前牙滞留或早失,上恒切牙先天性缺失,不良习惯、乳尖牙磨耗不足,全身性疾病以及遗传性下颌前突所致。

穗华口腔医院专家介绍,其实矫正牙齿分不同的情况,一般来说,分为以下几种方面:
一、普通正畸
就是我们通常见到的“铁齿钢牙”的矫治方法,用粘结剂将矫正装置粘固于牙齿上,患者不能自行摘戴,只能由正畸医师装拆、调整加力。需要每个月复诊一次,医生逐渐加力使牙齿移动,达到设计的理想状态,正畸工作基本结束。拆除矫治器以后还要戴一段时间保持器,以巩固正畸成果,防止复发。
二、隐形正畸
隐形正畸就是把矫治器全部安装于牙齿的舌侧面进行正畸治疗,因此也叫作舌侧正畸。这种正畸方法是从外面看不见矫治器,正畸治疗期间仍然可以进行正常的社交和职业活动。不知不觉中改变了牙齿排列,改变了面部形象。这种技术一问世,便受到了演艺界人士、模特、教师、公务员等美观或职业要求较高和爱美人士的热烈欢迎。
三、 烤瓷牙矫正
烤瓷矫正就是通过做烤瓷牙的方式矫正畸形牙齿,就是把自己牙齿均匀的磨去一圈,大然后再套上个烤瓷冠。
选择正规医院,挑选好医师,给自己的牙齿矫正。穗华口腔医院是拥有百年人文底蕴的暨南大学附属口腔医院临床教学医院,是广东省卫生厅批准成立的口腔专科医院,是集口腔诊疗、教学和科研为一体的现代化口腔综合医院,是您看牙的放心信赖之选!
如果您还想了解更多的情况,欢迎在线免费咨询穗华口腔医院专家,或拔打我们的热线:020-62266666,也欢迎您到我们医院现场咨询,穗华口腔专家将竭诚为您服务。
(版权归穗华口腔医院所有,如需转载请注明文章来源:穗华口腔医院 http://www.62266666.com)
穗华品牌
穗华口腔医院作为暨南大学授权合作医院,是依托国内外权威硕博专家医资和口腔医学优势所建立的一所集临床、教学、科研、预防为一体的现代化口腔专科医院,开创了中国医疗改革创新示范的先河。
快速通道
医院动态
1
2026穗华口腔“一老一小”专利技术节 | 数智化革新 专利矫好牙
2
2026穗华口腔“一老一小”专利技术节 | 守护天然牙 健康全口牙
3
高手交锋——12位医生同台展示正畸病例,专家点评助力临床精进
4
传承九届——穗华口腔以病例为抓手,筑牢正畸人才培养根基
5
穗华口腔十年庆典圆满举办,粤港澳临床医学学会致贺寄望
查看完整动态>
推荐专家
收起
特色诊疗项目
收起






























































