双颌前突应该怎么办?
时间:2015-08-12 17:54:48 来源:未知 作者:穗华口腔医院 阅读量:363
导读
双颌前突表现为上下牙弓和前牙均向前突出,严重者上下嘴唇不能自然闭合,形成开唇露齿。双颌前突影响外貌美观,也影响口腔咀嚼功能,终对身体健康不利......
双颌前突表现为上下牙弓和前牙均向前突出,严重者上下嘴唇不能自然闭合,形成“开唇露齿”。双颌前突影响外貌美观,也影响口腔咀嚼功能,终对身体健康不利,双颌前突必须得到改善。那么双颌前突应该怎么办?下文为大家揭晓治疗双颌前突的方法。
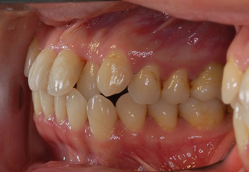
双颌前突
双颌前突应该怎么办?视具体情况选择相对应的治疗
1、轻度或中度双颌前突或双牙弓前突者,内收上下前牙,同时矫治深覆牙合。
2、严重上下颌前突者,需做外科正畸手术。
3、双颌前突伴口呼吸习惯者,应及早治疗,以制止口呼吸。
4、需手术治疗者,可于术前术后按医嘱行,常规抗感染用药。
穗华口腔 华南口腔正畸界的技术领导者
暨南大学附属口腔医院穗华口腔正畸科,是我院重点临床专科,由我国着名口腔医学专家吕培琨教授于1981年创建,是华南地区数字化技术口腔正畸诊断与治疗的领导者,水平一直处于国内领先地位。
科室先后引进了美国、德国、日本、丹麦等先进设备,医师运用计算机测量、辅助分析及先进的矫治技术,评估不同患者的牙齿与面颌部情况,量身设计个性化的口腔正畸治疗方案,科学的治疗方案,更使正畸时间缩短至传统正畸技术时间的1/3。其中,个性化舌侧矫治技术、成人高难度病例矫治已成为中心的特色及强项,每年诊治省内外大量转诊正畸疑难病例,是华南地区处理疑难病例及失败后再处理病例的重点专科。
选择正规医院,挑选好医师,给自己的牙齿矫正。穗华口腔医院是拥有百年人文底蕴的暨南大学附属口腔医院临床教学医院,是广东省卫生厅批准成立的口腔专科医院,是集口腔诊疗、教学和科研为一体的现代化口腔综合医院,是您看牙的放心信赖之选!
由于篇幅有限,本文就为大家介绍这么多,关于双颌前突应该怎么办?如果您还有疑问或想了解更多,可点击在线咨询,届时与我院专家一对一沟通交流。
(版权归穗华口腔医院所有,如需转载请注明文章来源:穗华口腔医院 http://www.62266666.com)
穗华品牌
穗华口腔医院作为暨南大学授权合作医院,是依托国内外权威硕博专家医资和口腔医学优势所建立的一所集临床、教学、科研、预防为一体的现代化口腔专科医院,开创了中国医疗改革创新示范的先河。
快速通道
医院动态
1
2026穗华口腔“一老一小”专利技术节 | 数智化革新 专利矫好牙
2
2026穗华口腔“一老一小”专利技术节 | 守护天然牙 健康全口牙
3
高手交锋——12位医生同台展示正畸病例,专家点评助力临床精进
4
传承九届——穗华口腔以病例为抓手,筑牢正畸人才培养根基
5
穗华口腔十年庆典圆满举办,粤港澳临床医学学会致贺寄望
查看完整动态>
推荐专家
收起
特色诊疗项目
收起






























































