双颌前突矫正安全吗?
时间:2015-08-10 18:22:23 来源:未知 作者:穗华口腔医院 阅读量:293
导读
不少双颌前突患者想接受牙齿矫正来改变牙齿形态,但是听说双颌前突矫正会留下后遗症,使得他们放弃接受治疗。 那么双颌前突矫正安全吗? 下文为大家揭晓一......
不少双颌前突患者想接受牙齿矫正来改变牙齿形态,但是听说双颌前突矫正会留下后遗症,使得他们放弃接受治疗。那么双颌前突矫正安全吗?下文为大家揭晓一下。
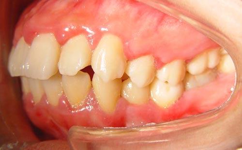
双颌前突
双颌前突矫正安全吗?双颌前突矫正风险很小
牙齿矫正有可能出现的问题是牙齿脱矿和食物嵌塞。牙齿脱矿多见于不好好配合的青少年患者,预防措施主要是牙医要做好口腔卫生的教导工作,对业已形成的白垩色改变,则可以通过修复的方法进行有效的改善。
双颌前突矫正安全吗?前牙开颌矫正技术成熟
牙列拥挤矫正技术迄今已有一百余年的历史,早已被证明是一项成熟完善的技术,目前并无任何科学的证据可以表明完善的牙齿矫正会给患者带来副作用。
选择正规医院,挑选好医师,给自己的牙齿矫正。穗华口腔医院是拥有百年人文底蕴的暨南大学附属口腔医院临床教学医院,是广东省卫生厅批准成立的口腔专科医院,是集口腔诊疗、教学和科研为一体的现代化口腔综合医院,是您看牙的放心信赖之选!
由于篇幅有限,本文就为大家介绍这么多,关于双颌前突矫正安全吗?如果您还有疑问或想了解更多,可点击在线咨询,届时与我院专家一对一沟通交流。
(版权归穗华口腔医院所有,如需转载请注明文章来源:穗华口腔医院 http://www.62266666.com)
穗华品牌
穗华口腔医院作为暨南大学授权合作医院,是依托国内外权威硕博专家医资和口腔医学优势所建立的一所集临床、教学、科研、预防为一体的现代化口腔专科医院,开创了中国医疗改革创新示范的先河。
快速通道
医院动态
1
2026穗华口腔“一老一小”专利技术节 | 数智化革新 专利矫好牙
2
2026穗华口腔“一老一小”专利技术节 | 守护天然牙 健康全口牙
3
高手交锋——12位医生同台展示正畸病例,专家点评助力临床精进
4
传承九届——穗华口腔以病例为抓手,筑牢正畸人才培养根基
5
穗华口腔十年庆典圆满举办,粤港澳临床医学学会致贺寄望
查看完整动态>
推荐专家
收起
特色诊疗项目
收起






























































