前牙开颌矫正会痛吗?
时间:2015-08-10 17:43:50 来源:未知 作者:穗华口腔医院 阅读量:169
导读
前牙开颌通过矫正治疗可以恢复口腔自然美观的形态,很多前牙开颌患者都担心前牙开颌矫正会痛,不能下定决定治疗, 那么前牙开颌矫正会痛吗? 下文为大家揭......
前牙开颌通过矫正治疗可以恢复口腔自然美观的形态,很多前牙开颌患者都担心前牙开颌矫正会痛,不能下定决定治疗,那么前牙开颌矫正会痛吗?下文为大家揭晓一下。
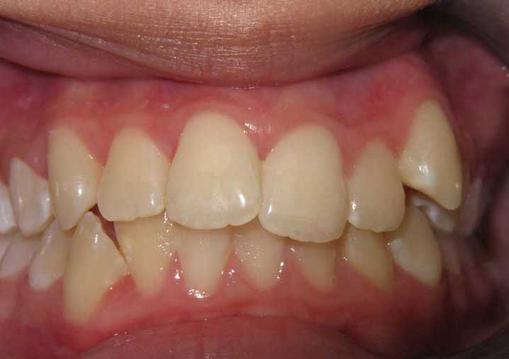
前牙开颌
前牙开颌矫正会痛吗?在做矫正初期,牙齿会感到疼痛、酸胀,这都属于正常现象,只要平时不吃刺激性的食物,随时保持口腔卫生清洁就可以了。
当牙齿受到轻微而持续的外力时,牙齿是不会感觉疼痛的,但是牙齿周围的牙周膜受到挤压、拉扯。牙周膜内除了连接牙齿与牙槽骨的牙周韧带外,还有丰富的神经、血管与细胞。当牙周组织受力后牙周韧带会释放出一些神经传导物质来刺激神经,传导给大脑。大概安装牙齿矫正器后5-6小时,会有较为明显的感觉。
选择正规医院,挑选好医师,给自己的牙齿矫正。穗华口腔医院是拥有百年人文底蕴的暨南大学附属口腔医院临床教学医院,是广东省卫生厅批准成立的口腔专科医院,是集口腔诊疗、教学和科研为一体的现代化口腔综合医院,是您看牙的放心信赖之选!
由于篇幅有限,本文就为大家介绍这么多,关于前牙开颌矫正会痛吗?如果您还有疑问或想了解更多,可点击在线咨询,届时与我院专家一对一沟通交流。
(版权归穗华口腔医院所有,如需转载请注明文章来源:穗华口腔医院 http://www.62266666.com)
穗华品牌
穗华口腔医院作为暨南大学授权合作医院,是依托国内外权威硕博专家医资和口腔医学优势所建立的一所集临床、教学、科研、预防为一体的现代化口腔专科医院,开创了中国医疗改革创新示范的先河。
快速通道
医院动态
1
2026穗华口腔“一老一小”专利技术节 | 数智化革新 专利矫好牙
2
2026穗华口腔“一老一小”专利技术节 | 守护天然牙 健康全口牙
3
高手交锋——12位医生同台展示正畸病例,专家点评助力临床精进
4
传承九届——穗华口腔以病例为抓手,筑牢正畸人才培养根基
5
穗华口腔十年庆典圆满举办,粤港澳临床医学学会致贺寄望
查看完整动态>
推荐专家
收起
特色诊疗项目
收起






























































