做种植牙价格贵吗
时间:2015-08-11 09:19:30 来源:未知 作者:穗华口腔医院 阅读量:296
导读
随着现代医疗水平的提高,牙齿缺失后,许多人会选择做种植牙。众所周知,牙齿的缺失势必造成一系列的麻烦,诸如对食物的消化、面部形态等,影响了个人的......
随着现代医疗水平的提高,牙齿缺失后,许多人会选择做种植牙。众所周知,牙齿的缺失势必造成一系列的麻烦,诸如对食物的消化、面部形态等,影响了个人的健康,也许很多少除了关心种植牙的效果外,还会关注做种植牙的价格。那么,做种植牙要多少钱呢?
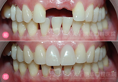
穗华口腔医院专家介绍,种植牙齿指的是一种以植入骨组织内的下部结构为基础来支持、固位上部牙修复体的缺牙修复方式。它包括下部的支持种植体(dental implant)和上部的牙修复体(dental prosthesis, implant-supported)两部分。采用人工材料(如金属、陶瓷等)制成种植体(一般类似牙根形态),经手术方法植入组织内(通常是上下颌)并获得骨组织牢固的固位支持,通过特殊的装置和方式连接支持上部的牙修复体。种植牙可以获得与天然牙功能、结构以及美观效果十分相似的修复效果,已经成为越来越多缺牙患者的修复方式。 推荐阅读》》》种植牙

穗华口腔临床优点:
1、微创无痛
种植牙全程采用精细微创技术,无痛麻醉,让整个治疗过程稳定舒适。
2、安全稳固
种植系统品质保证,与自身组织完美结合,形成稳固基础,稳定使用终身。
3、无副作用
不损伤邻牙,无异物感,无不适感,恢复真牙般咀嚼能力与味觉感受。
4、方便稳固
外观、色泽媲美真牙,不需要特殊清洁维护,注意日常的口腔清洁即可,一次种植终身受用。
穗华口腔医院专家指出,种植牙价格通常从几千元至上万元不等,价格由种植体、连接基台、全瓷牙冠、手术费用等构成,根据所选材料和医院,价格存在差异。
医院专家与设备
1、医院的技术实力、专家实力、手术设备等是影响种植牙价格的重要因素之一。
2、种植牙材料及技术
材料不同、性能不一样,价格就会存在差异,品质越高的材料价格自然就越高。
3、患者自身口腔情况
口腔状况好的患者可直接进行手术,反之则需要对口腔问题进行治疗后再种植。
穗华口腔医院科室引进当前牙齿缺失修复领域中的植体系统,为患者提供各种类型的种植义齿修复,全面满足个性化、复杂化、高难度种植技术需求。科室核心项目“种植牙修复牙缺失”,有效解决了骨量不足及美观问题,达到五年成功率98%、10年成功率96%的国际一流种植留存率,成为华南口腔种植界的技术标杆。
如果您还想了解更多的情况,欢迎在线免费咨询穗华口腔医院专家,或拔打我们的热线:020-62266666,也欢迎您到我们医院现场咨询,穗华口腔专家将竭诚为您服务。
(版权归穗华口腔医院所有,如需转载请注明文章来源:穗华口腔医院 http://www.62266666.com)
穗华品牌
穗华口腔医院作为暨南大学授权合作医院,是依托国内外权威硕博专家医资和口腔医学优势所建立的一所集临床、教学、科研、预防为一体的现代化口腔专科医院,开创了中国医疗改革创新示范的先河。
快速通道
医院动态
1
2026穗华口腔“一老一小”专利技术节 | 数智化革新 专利矫好牙
2
2026穗华口腔“一老一小”专利技术节 | 守护天然牙 健康全口牙
3
高手交锋——12位医生同台展示正畸病例,专家点评助力临床精进
4
传承九届——穗华口腔以病例为抓手,筑牢正畸人才培养根基
5
穗华口腔十年庆典圆满举办,粤港澳临床医学学会致贺寄望
查看完整动态>
推荐专家
收起
特色诊疗项目
收起






























































