牙齿缺失做种植牙好不好
时间:2015-08-10 16:52:57 来源:未知 作者:穗华口腔医院 阅读量:209
导读
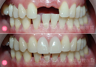
牙齿缺失后也许会很让你烦恼,让你不敢露出美丽的笑容,还让你吃什么都没胃口,由此而引发的口腔问题让你彻夜难睡,严重影响了你的生活。牙齿有问题拖不......
牙齿缺失后也许会很让你烦恼,让你不敢露出美丽的笑容,还让你吃什么都没胃口,由此而引发的口腔问题让你彻夜难睡,严重影响了你的生活。牙齿有问题拖不得,及时做种植牙是明智之举,可以有效解决这些问题,那么,种植牙好不好,有哪些优点呢?下面穗华口腔医院专家为大家详细介绍。

种植一般需要两期手术,一期手术是在局部麻醉消毒后在缺失牙的部位做一切口,在牙槽骨上球钻定位,打孔,植入种植体,使植体与骨形成骨性结合。这期手术是将手中的植体和覆盖螺丝放入牙槽骨内,严密关闭软组织伤口,种植体愈合需要4-6个月。二期手术是在种植的部位用愈合基台替代螺丝帽,愈合基台暴露在口腔内,大约需要一个月。
在愈合基台安放于口腔内一个月,上皮袖口形成后,就可以取模,制作烤瓷牙了,约一周以后,缺失的牙齿试戴后,就可以正式粘结了,至此整体的工作完成了。
穗华口腔医院专家介绍,种植牙具有以下优点:
1、功能强:能很好地恢复牙齿功能,咀嚼功能大大优于其他传统假牙。
2、不磨牙:依靠自身的人工牙根进行修复,不用磨旁边的健康牙齿,对牙齿没有任何伤害。
3、固位好:不使用传统镶牙的卡环或牙套,人工牙根牙槽骨紧密结合,像真牙一样扎根在口腔里,具有很强的固位力与稳定性。
4、种植牙美观:可以根据就诊者的脸型、其他牙齿的形状与颜色制作牙冠,达到整体协调和美观的效果。
5、舒适方便:不使用活动假牙必需的基托与卡环,没有异物感,非常舒适、方便,而且有利于保持口腔的清洁卫生。
6、操作简单:种植牙手术是一个较小的牙槽外科手术,类似拔牙,采用局部麻醉,创伤小,术后即可进食,几乎无痛苦。一般种植体植入术只需要几十分钟至数小时即可以完成。由于选用的是与人体相容性极好的生物材料,种植牙对人体不产生任何不良的副作用。如果种植牙的骨结合失败,也就是种植牙没有成功,也可以取出以后待骨愈合再做种植,或者改用其他修复方法。
穗华3D导航种植牙优势:
1、精准:采用意大利NewTom锥形束CBCT,可提供关于植入区骨(高度、厚度、宽度、骨密度)、软组织及相邻重要解剖结构的详细数据,克服了传统技术种植体植入位置不正的问题,确保种植的位置、角度、深度与模拟效果分毫不差,建立咬合关系。
2、快速:使用德国威兰德CAD/CAM“即刻种植,即刻负载”技术,顾客种完牙的当天就可以正常饮食。
3、微创:丹麦3shape3D设计系统,进行种植方案完美模拟,并打印出种植导板,医生在术前设计就能轻易地避开重要神经和血管,无需手术切口便可精准植入种植体,出血很少,把种植风险和损伤大大降低。
如果您还想了解更多的情况,欢迎在线免费咨询穗华口腔医院专家,或拔打我们的热线:020-62266666,也欢迎您到我们医院现场咨询,穗华口腔专家将竭诚为您服务。
(版权归穗华口腔医院所有,如需转载请注明文章来源:穗华口腔医院 http://www.62266666.com)
穗华品牌
穗华口腔医院作为暨南大学授权合作医院,是依托国内外权威硕博专家医资和口腔医学优势所建立的一所集临床、教学、科研、预防为一体的现代化口腔专科医院,开创了中国医疗改革创新示范的先河。
快速通道
医院动态
1
2026穗华口腔“一老一小”专利技术节 | 数智化革新 专利矫好牙
2
2026穗华口腔“一老一小”专利技术节 | 守护天然牙 健康全口牙
3
高手交锋——12位医生同台展示正畸病例,专家点评助力临床精进
4
传承九届——穗华口腔以病例为抓手,筑牢正畸人才培养根基
5
穗华口腔十年庆典圆满举办,粤港澳临床医学学会致贺寄望
查看完整动态>
推荐专家
收起
特色诊疗项目
收起






























































