多颗牙缺失怎么办
时间:2015-08-10 16:47:58 来源:未知 作者:穗华口腔医院 阅读量:289
导读
在现实生活中,由于牙周病,蛀牙,或意外事故等原因,会造成牙齿缺失。多颗牙缺失后,会让你吃不好,睡不好,常常让你感到烦恼,口腔健康是至关重要的,......
在现实生活中,由于牙周病,蛀牙,或意外事故等原因,会造成牙齿缺失。多颗牙缺失后,会让你吃不好,睡不好,常常让你感到烦恼,口腔健康是至关重要的,对于这样的情况,应及时做种植牙。
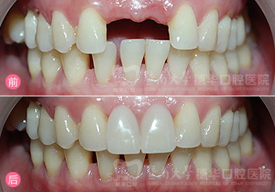
穗华口腔医院专家介绍,种植牙齿 也叫人工种植牙,并不是真的种上自然牙齿,而是通过医学方式,将与人体骨质兼容性高的纯钛金属经过精密的设计,制造成类似牙根的圆柱体或其他形状,以外科小手术的方式植入缺牙区的牙槽骨内,经过 1~3 个月后,当人工牙根与牙槽骨密合后,再在人工牙根上制作烤瓷牙冠。因不具破坏性,种植牙已被口腔医学界公认为缺牙的修复方式。 推荐阅读》》》多颗牙缺失

暨南大学附属穗华口腔医院,是中国着名的口腔种植技术教育中心和人才培养基地,一直致力于国际前沿种植技术临床和研究,在口腔种植科研方面,先后获得国家自然科学基金、广东省自然科学基金等多个级别、多个项目科研基金。
科室引进当前牙齿缺失修复领域中的植体系统,为患者提供各种类型的种植义齿修复,全面满足个性化、复杂化、高难度种植技术需求。科室核心项目“种植牙修复牙缺失”,有效解决了骨量不足及美观问题,达到五年成功率98%、10年成功率96%的国际一流种植留存率,成为华南口腔种植界的技术标杆。
穗华水激光无痛种植优势:
避免疼痛感:水光动力和普通牙钻不同之处在于,水激光Er晶体释放的高速动能粒子,在作用于硬组织时,不会出现振动,也不会产生热量,患者神经不会过分敏感而产生疼痛,资料表明:90%的患者在治疗时没有瘁痛感。这是过去种植牙手术中从没出现过的。
提高成功率:传统种植主要采用普通牙钻进行环切,不仅需要麻醉,还有可能因为出血导致手术视野不清晰,增加种植的不确定性,而使用水激光进行环切,可获得极佳的切割和止血效果,80%-90%的手术不需要麻醉。
提高舒适度:传统种植牙术后都会出现3-5天的局部水肿及瘀斑,然而水激光种植,其手术伤口非常小,出血很少,甚至不需要缝合,由于弱激光具有止血消肿作用,能显着缩短术后的恢复时间,大大提高舒适程度。
降低感染率:种植体周围炎是传统种植牙术后令患者和医生担心的问题,而水激光本身就具有极佳的消炎、杀菌功效,能对手术区域进行杀菌和控制肿胀,从而降低感染率,有效防止种植体周围炎发生,显着提升种植成功率及延长种植牙使用寿命。
如果您还想了解更多的情况,欢迎在线免费咨询暨南大学附属穗华口腔医院专家,或拔打我们的热线:020-62266666,也欢迎您到我们医院现场咨询,穗华口腔专家将竭诚为您服务。
(版权归穗华口腔医院所有,如需转载请注明文章来源:穗华口腔医院 http://www.62266666.com)
穗华品牌
穗华口腔医院作为暨南大学授权合作医院,是依托国内外权威硕博专家医资和口腔医学优势所建立的一所集临床、教学、科研、预防为一体的现代化口腔专科医院,开创了中国医疗改革创新示范的先河。
快速通道
医院动态
1
2026穗华口腔“一老一小”专利技术节 | 数智化革新 专利矫好牙
2
2026穗华口腔“一老一小”专利技术节 | 守护天然牙 健康全口牙
3
高手交锋——12位医生同台展示正畸病例,专家点评助力临床精进
4
传承九届——穗华口腔以病例为抓手,筑牢正畸人才培养根基
5
穗华口腔十年庆典圆满举办,粤港澳临床医学学会致贺寄望
查看完整动态>
推荐专家
收起
特色诊疗项目
收起






























































