牙列拥挤矫正医院哪家好?
时间:2015-08-12 10:41:28 来源:未知 作者:穗华口腔医院 阅读量:206
导读
牙齿矫正是解决牙齿畸形的理想方法,通过医学的方法,用矫正器使牙齿进行微动力的移动,使牙齿恢复到正确的位置,牙齿矫正后,呈现自然美观的形态。 那......
牙齿矫正是解决牙齿畸形的理想方法,通过医学的方法,用矫正器使牙齿进行微动力的移动,使牙齿恢复到正确的位置,牙齿矫正后,呈现自然美观的形态。那么牙列拥挤矫正医院哪家好?要选择好的牙齿矫正医院,一要看医院资质,二要看主诊医生资质,三要看矫正技术。
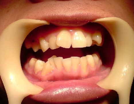
牙列拥挤
牙列拥挤矫正医院哪家好?医院选择重要
要做好种植牙,必须要选择一间正规的专业口腔医院,拥有完善的医疗设备,环境舒适,切勿选择街边小巷的个人小诊所,避免因为没有条件进行器材的消毒而发生交叉感染,影响治疗的安全性。
牙列拥挤矫正医院哪家好?医生选择关键
要做好种植牙,主诊医生的技术和经验非常的重要。穗华口腔医院传承百年浓厚的学科底蕴,拥有华南乃至大中华区一流的专家队伍,齐聚20余位教授副教授级专家、50余位留学德国、美国、英国、加拿大等国际口腔医学博士硕士,并与国内外100余位权威专家建立学术探讨、科研合作、联合会诊的深度合作。在颅颌面外科、口腔种植、美容修复、牙齿正畸、口腔黏膜、牙周治疗、牙体牙髓等13个专业科室,以专研专治、个性诊疗、风险预控为核心理念,积累了国内领先的临床特色和技术优势。
牙列拥挤矫正医院哪家好?技术选择是依据
穗华口腔正畸科室先后引进了美国、德国、日本、丹麦等先进设备,医师运用计算机测量、辅助分析及先进的矫治技术,评估不同患者的牙齿与面颌部情况,量身设计个性化的口腔正畸治疗方案,科学的治疗方案,更使正畸时间缩短至传统正畸技术时间的1/3。其中,个性化舌侧矫治技术、成人高难度病例矫治已成为中心的特色及强项,每年诊治省内外大量转诊正畸疑难病例,是华南地区处理疑难病例及失败后再处理病例的重点专科。
选择正规医院,挑选好医师,给自己的牙齿矫正。穗华口腔医院是拥有百年人文底蕴的暨南大学附属口腔医院临床教学医院,是广东省卫生厅批准成立的口腔专科医院,是集口腔诊疗、教学和科研为一体的现代化口腔综合医院,是您看牙的放心信赖之选!
由于篇幅有限,本文就为大家介绍这么多,关于牙列拥挤矫正医院哪家好?如果您还有疑问或想了解更多,可点击在线咨询,届时与我院专家一对一沟通交流。
(版权归穗华口腔医院所有,如需转载请注明文章来源:穗华口腔医院 http://www.62266666.com)
穗华品牌
穗华口腔医院作为暨南大学授权合作医院,是依托国内外权威硕博专家医资和口腔医学优势所建立的一所集临床、教学、科研、预防为一体的现代化口腔专科医院,开创了中国医疗改革创新示范的先河。
快速通道
医院动态
1
2026穗华口腔“一老一小”专利技术节 | 数智化革新 专利矫好牙
2
2026穗华口腔“一老一小”专利技术节 | 守护天然牙 健康全口牙
3
高手交锋——12位医生同台展示正畸病例,专家点评助力临床精进
4
传承九届——穗华口腔以病例为抓手,筑牢正畸人才培养根基
5
穗华口腔十年庆典圆满举办,粤港澳临床医学学会致贺寄望
查看完整动态>
推荐专家
收起
特色诊疗项目
收起






























































