牙列拥挤矫正有副作用吗?
时间:2015-08-07 17:41:10 来源:未知 作者:穗华口腔医院 阅读量:244
导读
牙列拥挤不仅影响牙齿美观,还会影响身体健康,所以牙列拥挤必须通过矫正改变牙齿的形态,展现牙齿的自然美观。很多牙列拥挤患者想进行矫正,但又担心矫......
牙列拥挤不仅影响牙齿美观,还会影响身体健康,所以牙列拥挤必须通过矫正改变牙齿的形态,展现牙齿的自然美观。很多牙列拥挤患者想进行矫正,但又担心矫正有副作用,那么牙列拥挤矫正有副作用吗?下文为大家揭晓一下。
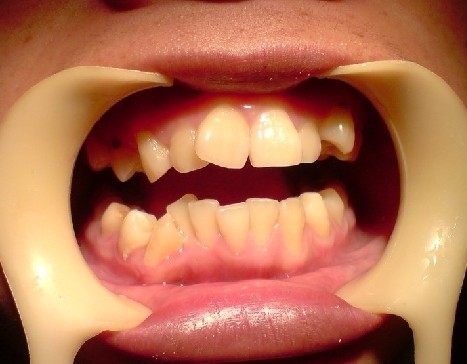
牙列拥挤
牙列拥挤矫正有副作用吗?牙列拥挤矫正技术迄今成熟
牙列拥挤矫正技术迄今已有一百余年的历史,早被证明是一项成熟完善的技术,目前并没有科学证据证明牙齿矫正会给患者带来副作用。有人担心牙齿矫正会将牙齿弄松,导致牙齿提前脱落,不过研究证明牙齿脱落是由于牙周炎引起的。
牙列拥挤矫正有副作用吗?牙列拥挤矫正可能出现的小问题
牙齿矫正可能会出现的小问题是牙齿脱矿和食物嵌塞。牙齿脱矿是指在矫正过程中,托槽周边或牙龈边缘位置出现的白垩色变化,一般是由于患者在矫正过程中没有仔细刷牙,没有维护好口腔卫生环境,致使牙齿表面的细菌产酸而使牙齿的颜色和实质发生变化。
穗华口腔 华南口腔正畸界的技术领导者
暨南大学附属口腔医院穗华口腔正畸科,是我院重点临床专科,由我国着名口腔医学专家吕培琨教授于1981年创建,是华南地区数字化技术口腔正畸诊断与治疗的领导者,水平一直处于国内领先地位。
科室先后引进了美国、德国、日本、丹麦等先进设备,医师运用计算机测量、辅助分析及先进的矫治技术,评估不同患者的牙齿与面颌部情况,量身设计个性化的口腔正畸治疗方案,科学的治疗方案,更使正畸时间缩短至传统正畸技术时间的1/3。其中,个性化舌侧矫治技术、成人高难度病例矫治已成为中心的特色及强项,每年诊治省内外大量转诊正畸疑难病例,是华南地区处理疑难病例及失败后再处理病例的重点专科。
由于篇幅有限,本文就为大家介绍这么多,关于牙列拥挤矫正有副作用吗?如果您还有疑问或想了解更多,可点击在线咨询,届时与我院专家一对一沟通交流。
(版权归穗华口腔医院所有,如需转载请注明文章来源:穗华口腔医院 http://www.62266666.com)
穗华品牌
穗华口腔医院作为暨南大学授权合作医院,是依托国内外权威硕博专家医资和口腔医学优势所建立的一所集临床、教学、科研、预防为一体的现代化口腔专科医院,开创了中国医疗改革创新示范的先河。
快速通道
医院动态
1
2026穗华口腔“一老一小”专利技术节 | 数智化革新 专利矫好牙
2
2026穗华口腔“一老一小”专利技术节 | 守护天然牙 健康全口牙
3
高手交锋——12位医生同台展示正畸病例,专家点评助力临床精进
4
传承九届——穗华口腔以病例为抓手,筑牢正畸人才培养根基
5
穗华口腔十年庆典圆满举办,粤港澳临床医学学会致贺寄望
查看完整动态>
推荐专家
收起
特色诊疗项目
收起






























































