牙列拥挤矫正效果好不好?
时间:2015-08-06 18:30:20 来源:未知 作者:穗华口腔医院 阅读量:223
导读
牙列拥挤给生活带来了很多危害和不便,不但影响口腔美观,还会影响咀嚼功能,造成咀嚼不充分,终影响肠胃健康,除此之外,还会造成口腔不易清洁,细菌......
牙列拥挤给生活带来了很多危害和不便,不但影响口腔美观,还会影响咀嚼功能,造成咀嚼不充分,终影响肠胃健康,除此之外,还会造成口腔不易清洁,细菌滋生,导致口腔疾病。因此牙列拥挤必须通过牙齿矫正治疗,那么牙列拥挤矫正效果好不好?下文为大家揭晓一下。
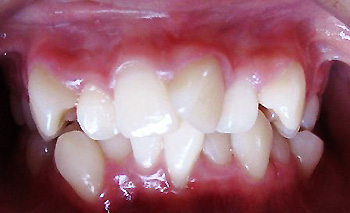
牙列拥挤
牙列拥挤矫正效果好不好?牙列拥挤矫正要尽早
尽早矫正牙列拥挤,能有效摆脱牙列拥挤带来的负面影响,如影响牙齿清洁,减弱牙齿的自洁作用、影响影响正常的咀嚼功能,降低咀嚼效率、影响牙齿发育、影响镶牙,易患牙病等众多的牙列拥挤危害。对于牙列拥挤,矫正越早,矫正效果越好。
牙列拥挤矫正效果好不好?选择合适的矫正器
要保证矫正效果,还要选择合适的矫正器,穗华口腔医院有适合注重经济实惠“月光一族”的矫正牙列拥挤好技术---3M托槽正畸术,其显着的矫牙效果也是深受广大牙列拥挤患者的青睐和追捧的。美国3M托槽与传统的矫正系统相比,矫治的时间更短,降低了牙槽操作时间,延长复诊间隔时间,一般可提前3个月完成正畸。由于定位,疗程简化。同时特制的3M托槽具有记忆功能,能确保弓丝在正确位置上,提高了畸牙移动的有效性,具有治疗效果的可预见性。弓丝置换更简单,不需结扎圈,不再需医生逐一“解锁”,简单清洁。此外,该技术正畸着力点在牙槽表面,降低摩擦力,又能保护口腔黏膜,不仅快捷完美,而且过程舒适。
选择正规医院,挑选好医师,给自己的牙齿矫正。穗华口腔医院是拥有百年人文底蕴的暨南大学附属口腔医院临床教学医院,是广东省卫生厅批准成立的口腔专科医院,是集口腔诊疗、教学和科研为一体的现代化口腔综合医院,是您看牙的放心信赖之选!
由于篇幅有限,本文就为大家介绍这么多,关于牙列拥挤矫正效果好不好?如果您还有疑问或想了解更多,可点击在线咨询,届时与我院专家一对一沟通交流。
(版权归穗华口腔医院所有,如需转载请注明文章来源:穗华口腔医院 http://www.62266666.com)
穗华品牌
穗华口腔医院作为暨南大学授权合作医院,是依托国内外权威硕博专家医资和口腔医学优势所建立的一所集临床、教学、科研、预防为一体的现代化口腔专科医院,开创了中国医疗改革创新示范的先河。
快速通道
医院动态
1
2026穗华口腔“一老一小”专利技术节 | 数智化革新 专利矫好牙
2
2026穗华口腔“一老一小”专利技术节 | 守护天然牙 健康全口牙
3
高手交锋——12位医生同台展示正畸病例,专家点评助力临床精进
4
传承九届——穗华口腔以病例为抓手,筑牢正畸人才培养根基
5
穗华口腔十年庆典圆满举办,粤港澳临床医学学会致贺寄望
查看完整动态>
推荐专家
收起
特色诊疗项目
收起






























































