哪些人适合做冷光美白牙齿
时间:2015-08-06 17:11:55 来源:未知 作者:穗华口腔医院 阅读量:303
导读
口腔健康越来越受人们的关注,对于各种原因引起的牙齿发黄变黑,也许会让你很烦恼,别担心,随着医疗水平的提升,冷光美白的问世取代了传统的牙齿美白方......
口腔健康越来越受人们的关注,对于各种原因引起的牙齿发黄变黑,也许会让你很烦恼,别担心,随着医疗水平的提升,冷光美白的问世取代了传统的牙齿美白方法,让我们看到牙齿亮白的希望。那么,哪些人适合做冷光美白牙齿?
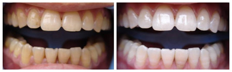
穗华口腔医院专家专家介绍,冷光美白是一项流行的牙齿美白技术,它不仅可以去除牙齿表面的色素沉积,同时可进入牙齿深层达到脱色的效果。根据临床实验表明,使用冷光牙齿美白技术,其效果可提高5-14个vita色阶,不仅优于同类产品,更超过家用牙套美白效果30%以上。推荐阅读》》冷光美白

穗华口腔医院美白技术采用恒温纳米光,是现阶段的牙齿美白技术。它在冷光美白的基础上,首创过氧化氢加硝酸钾和氟化物结合的美白方式,打破了传统冷光美白的局限性,克服了传统冷光美白时牙齿酸痛,美白后牙龈过敏的窘境,具有高效快速、保护牙齿、舒适无痛、效果持久等优点。
冷光美白适合以下三种人群:
1、轻中度的四环素牙、氟斑牙,或者其它因素引起的变色牙,遗传性黄黑齿,一般通过一次冷光美白牙治疗即可获得满意的效果。
2、重度的四环素牙、氟斑牙,或者其它因素引起的变色牙、黄牙,一般需要通过两次以上的冷光美白牙治疗(间隔一周长不超过两周),即可取得满意的美白效果。
3、伴有釉质发育不良的重度的四环素牙、氟斑牙、或者其它因素引起的变色牙,需要在医生的诊断下,多次进行冷光美白牙的治疗,方可获得一定的改观。此类患者也可以采用烤瓷牙的方式进行修复。
选择正规医院,挑选好医师,给自己的牙齿矫正。穗华口腔医院是拥有百年人文底蕴的暨南大学附属口腔医院临床教学医院,是广东省卫生厅批准成立的口腔专科医院,是集口腔诊疗、教学和科研为一体的现代化口腔综合医院,是您看牙的放心信赖之选!
如果您还想了解更多的情况,欢迎在线免费咨询穗华口腔医院专家,或拔打我们的热线:020-62266666,也欢迎您到我们医院现场咨询,穗华口腔专家将竭诚为您服务。
(版权归穗华口腔医院所有,如需转载请注明文章来源:穗华口腔医院 http://www.62266666.com)
穗华品牌
穗华口腔医院作为暨南大学授权合作医院,是依托国内外权威硕博专家医资和口腔医学优势所建立的一所集临床、教学、科研、预防为一体的现代化口腔专科医院,开创了中国医疗改革创新示范的先河。
快速通道
医院动态
1
2026穗华口腔“一老一小”专利技术节 | 数智化革新 专利矫好牙
2
2026穗华口腔“一老一小”专利技术节 | 守护天然牙 健康全口牙
3
高手交锋——12位医生同台展示正畸病例,专家点评助力临床精进
4
传承九届——穗华口腔以病例为抓手,筑牢正畸人才培养根基
5
穗华口腔十年庆典圆满举办,粤港澳临床医学学会致贺寄望
查看完整动态>
推荐专家
收起
特色诊疗项目
收起






























































