冷光美白牙齿后应注意什么
时间:2015-08-06 17:07:04 来源:未知 作者:穗华口腔医院 阅读量:182
导读
现代生活中,由于不良的口腔卫生习惯或护牙不得当,容易造成黄牙、氟斑牙、黑牙、烟渍牙,严重影响了面部美观,在别人面前,你是否会觉得尴尬。你是否在......
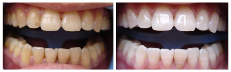
现代生活中,由于不良的口腔卫生习惯或护牙不得当,容易造成黄牙、氟斑牙、黑牙、烟渍牙,严重影响了面部美观,在别人面前,你是否会觉得尴尬。你是否在寻找有效地解决方法,随着医疗水平的提高,冷光美白不仅可以去除牙齿表面的色素沉积,同时可进入牙齿深层脱色。那么,冷光美白后需要注意什么呢?
穗华口腔医院专家介绍,冷光牙齿美白技术是将波长介于480-520nanometer之间的高强度蓝光,经由光纤传导,通过两片30多层镀膜的特殊光学镜片,再经过特殊光学处理,隔除一切有害的紫外线和红外线,将过氧化氢和直径为20纳米的二氧化硅等为主体的美白剂,快速产生氧化还原作用。透过牙小管,去除牙齿表面及深层附着的色素,从而达到美白的效果。
穗华口腔医院,致力于提供口腔洁牙保健、牙齿染色美白治疗及服务,同时设立华南地区口腔临床研究数据采集和分析中心,针对庞大烟民、偏爱碳酸饮料人群开展牙齿染色及治疗方法的研究,是暨南大学口腔医学院的临床教学基地和毕业生社会实践单位。推荐阅读》》》冷光美白

需要特别注意的是,冷光美白后20小时内需要做好护理措施,以免牙齿在染上有色物质:
1、在冷光美白治疗后,24小时内不要食用有色物质。因为,在做完冷光美白后,牙齿处于一个较透明的状态,非常容易染上色素,所以,尽可能的不要食用色素食物。包括茶、酒,甚至于抽烟,这些都是极易导致牙齿染色的。
2、很多患者可能觉得冷光美白治疗后,就能够随意的使用,认为在较短的时间内不会出现变色的情况。如果希望冷光美白治疗的效果维持较长久的话,可以日常生活中用美白牙膏进行刷牙,这样的话可以减轻冷光美白后的牙齿再度着色。
3、在冷光美白后,患者尽可能的少吃一些深色食物,比如:咖啡、红酒之类的。并且,在饭后应该养成良好的口腔卫生习惯,多刷牙漱口,保持口腔清洁。这样不仅能够达到美白目的,而且,还能够清洁口腔,预防口腔疾病产生。
穗华口腔技术突破:
1、不改变牙齿结构的情况下,15分钟产生美白作用,提高5-15个VITA色阶。
2、氧化剂作用封闭牙本质小管,促使牙釉质新生,美白后更坚固,防龋健齿。
3、对牙龈牙体无伤害,缩短治疗时间,减少张口时长,舒适无痛。
4、美白后不刻意使用对牙齿有损害的物品,美白效果可持续5年以上。
选择正规医院,挑选好医师,给自己的牙齿矫正。穗华口腔医院是拥有百年人文底蕴的暨南大学附属口腔医院临床教学医院,是广东省卫生厅批准成立的口腔专科医院,是集口腔诊疗、教学和科研为一体的现代化口腔综合医院,是您看牙的放心信赖之选!
如果您还想了解更多的情况,欢迎在线免费咨询穗华口腔医院专家,或拔打我们的热线:020-62266666,也欢迎您到我们医院现场咨询,穗华口腔专家将竭诚为您服务。
(版权归穗华口腔医院所有,如需转载请注明文章来源:穗华口腔医院 http://www.62266666.com)
穗华品牌
穗华口腔医院作为暨南大学授权合作医院,是依托国内外权威硕博专家医资和口腔医学优势所建立的一所集临床、教学、科研、预防为一体的现代化口腔专科医院,开创了中国医疗改革创新示范的先河。
快速通道
医院动态
1
2026穗华口腔“一老一小”专利技术节 | 数智化革新 专利矫好牙
2
2026穗华口腔“一老一小”专利技术节 | 守护天然牙 健康全口牙
3
高手交锋——12位医生同台展示正畸病例,专家点评助力临床精进
4
传承九届——穗华口腔以病例为抓手,筑牢正畸人才培养根基
5
穗华口腔十年庆典圆满举办,粤港澳临床医学学会致贺寄望
查看完整动态>
推荐专家
收起
特色诊疗项目
收起






























































