牙齿发黄怎么办
时间:2015-08-06 14:29:01 来源:未知 作者:穗华口腔医院 阅读量:323
导读
由于生活习惯和饮食习惯,可能会导致黄牙的出现。对于黄牙,影响了面部美观,很多人会因此而自卑,对心理造成阴影,对于黄牙,要怎么解决呢? 穗华口腔医......
由于生活习惯和饮食习惯,可能会导致黄牙的出现。对于黄牙,影响了面部美观,很多人会因此而自卑,对心理造成阴影,对于黄牙,要怎么解决呢?
穗华口腔医院专家介绍,导致牙齿发黄的原因有以下几点:
1、斑釉牙,又称为氟斑牙,为饮水中氟元素浓度过高所致。当氟浓度超过百万分之一时,就会影响牙胚的钙化过程,牙齿表面发黄,凹凸不平,出现点状或条状凹陷性缺损。斑釉牙常发生于5岁前牙齿发育钙化时。
2、四环素牙,为儿童时期经常服用四环素所致。它在体内与钙质相结合,生成一种四环素钙的黄色复合物,沉积于牙冠上。
3、吸烟,烟草中的黄色物质沾附于牙齿上所致。
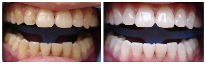
冷光美白是一项流行的牙齿美白技术,它不仅可以去除牙齿表面的色素沉积,同时可进入牙齿深层达到脱色的效果。根据临床实验表明,使用冷光牙齿美白技术,其效果可提高5-14个vita色阶,不仅优于同类产品,更超过家用牙套美白效果30%以上。

穗华口腔医院美白技术采用恒温纳米光,是现阶段的牙齿美白技术。它在冷光美白的基础上,首创过氧化氢加硝酸钾和氟化物结合的美白方式,打破了传统冷光美白的局限性,克服了传统冷光美白时牙齿酸痛,美白后牙龈过敏的窘境,具有高效快速、保护牙齿、舒适无痛、效果持久等优点。
穗华口腔医院在国内率先将皓齿美白技术引入临床治疗,治疗牙齿外源性着色和内源性着色等病例,均取得了良好的效果,积累了丰富的经验,达到国际领先水平。同时,目前我专科每年诊治省内大量转诊口腔修复疑难病例,已成为华南地区处理疑难病例及失败后再处理病例的上级专科。
如果您还想了解更多的情况,欢迎在线免费咨询穗华口腔医院专家,或拔打我们的热线:020-62266666,也欢迎您到我们医院现场咨询,穗华口腔专家将竭诚为您服务。
(版权归穗华口腔医院所有,如需转载请注明文章来源:穗华口腔医院 http://www.62266666.com)
穗华品牌
穗华口腔医院作为暨南大学授权合作医院,是依托国内外权威硕博专家医资和口腔医学优势所建立的一所集临床、教学、科研、预防为一体的现代化口腔专科医院,开创了中国医疗改革创新示范的先河。
快速通道
医院动态
1
2026穗华口腔“一老一小”专利技术节 | 数智化革新 专利矫好牙
2
2026穗华口腔“一老一小”专利技术节 | 守护天然牙 健康全口牙
3
高手交锋——12位医生同台展示正畸病例,专家点评助力临床精进
4
传承九届——穗华口腔以病例为抓手,筑牢正畸人才培养根基
5
穗华口腔十年庆典圆满举办,粤港澳临床医学学会致贺寄望
查看完整动态>
推荐专家
收起
特色诊疗项目
收起






























































