冷光美白牙齿可以保持多长时间
时间:2015-08-06 09:46:29 来源:未知 作者:穗华口腔医院 阅读量:542
导读
一口的黄牙是否会让你觉得烦恼,不自信?洁白整齐的牙齿是我们的所追求,随着牙齿美白技术的发展,冷光美白的问世取代了传统的牙齿美白方法,让我们看到......
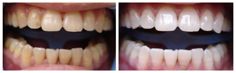
一口的黄牙是否会让你觉得烦恼,不自信?洁白整齐的牙齿是我们的所追求,随着牙齿美白技术的发展,冷光美白的问世取代了传统的牙齿美白方法,让我们看到牙齿亮白的希望,它能有效解决黄牙、黑牙、烟渍牙等,那么冷光美白牙齿可以保持多长时间呢?
穗华口腔医院专家介绍,牙齿美白后可以保持5年左右,但是每个人的保持时间也都不同的,主要和每个人的牙齿结构、生活习惯和饮食习惯有关,所以在美白后还是需要做好保持工作,以保证美白效果更持久。另外牙齿美白的效果和美白的方法也一定的关系。

冷光美白技术是现在常使用的美白方法,它有很好的美白效果,可以帮你彻底的解决牙齿发黄的现象。该方法的适用范围也是很广的,它适合于轻、中度的四环素牙,还有长时间吸烟,喝茶,喝咖啡等造成的牙齿表面的色素沉淀,安全有效的起到美白牙齿的效果。冷光美白的操作时间不用很长,仅需30分钟。低温冷光,完全避免了操作过程中对牙神经的刺激,被公认是目前有效及安全的牙齿脱色美白技术。
穗华口腔医院美白技术采用恒温纳米光,是现阶段的牙齿美白技术。它在冷光美白的基础上,首创过氧化氢加硝酸钾和氟化物结合的美白方式,打破了传统冷光美白的局限性,克服了传统冷光美白时牙齿酸痛,美白后牙龈过敏的窘境,具有高效快速、保护牙齿、舒适无痛、效果持久等优点。
穗华口腔牙齿美白优势:
1即刻美白。独特配方美白因子能够极速分解牙齿深层的沉淀色素,15分钟产生美白作用,缩短治疗时间,减少患者张口时长,美白程度迅速提高5-14个色阶。
2健康环保。同步提高牙齿护理,舒适美白且科学保护牙齿,安全有效的降解牙色素,操作过程不接触牙龈,完全避免了对牙神经的伤害,同时对牙结构不会造成任何伤害。
3自然美观。区别于常规漂白、钙化的方式,而是通过氟化剂保护牙齿,过氧化剂美白牙齿,从牙釉质渗透到牙本质,分解深层牙色素。让牙齿自然洁白,富光泽、有透明感。
4持久美白。在皓齿美白技术的美白加保护的原理下,氟化剂促使牙釉质新生而形成对牙齿的保护,美白效果更加明显。美白后的牙齿也能得到持久保护。
如果您还想了解更多的情况,欢迎在线免费咨询穗华口腔医院专家,或拔打我们的热线:020-62266666,也欢迎您到我们医院现场咨询,穗华口腔专家将竭诚为您服务。
(版权归穗华口腔医院所有,如需转载请注明文章来源:穗华口腔医院 http://www.62266666.com)
穗华品牌
穗华口腔医院作为暨南大学授权合作医院,是依托国内外权威硕博专家医资和口腔医学优势所建立的一所集临床、教学、科研、预防为一体的现代化口腔专科医院,开创了中国医疗改革创新示范的先河。
快速通道
医院动态
1
2026穗华口腔“一老一小”专利技术节 | 数智化革新 专利矫好牙
2
2026穗华口腔“一老一小”专利技术节 | 守护天然牙 健康全口牙
3
高手交锋——12位医生同台展示正畸病例,专家点评助力临床精进
4
传承九届——穗华口腔以病例为抓手,筑牢正畸人才培养根基
5
穗华口腔十年庆典圆满举办,粤港澳临床医学学会致贺寄望
查看完整动态>
推荐专家
收起
特色诊疗项目
收起






























































