牙错位矫正多少钱?
时间:2015-08-05 14:44:10 来源:未知 作者:穗华口腔医院 阅读量:322
导读
牙错位矫正可以改变牙齿的外形,让牙齿变得整齐美观,关于牙错位矫正价格方面,朋友们都很想了解。那么牙错位矫正多少钱?不同的矫正技术价格是不一样的......
牙错位矫正可以改变牙齿的外形,让牙齿变得整齐美观,关于牙错位矫正价格方面,朋友们都很想了解。那么牙错位矫正多少钱?不同的矫正技术价格是不一样的,要根据自己的具体情况具体选择适合自己的矫正方法,下文为大家介绍不同的矫正技术之间价格的高低。
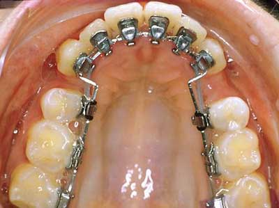
牙错位矫正多少钱?金属托槽矫正技术
牙套牙齿矫正技术,带牙套的原理是用一个像模具样的套子,固定矫正牙齿。通过逐渐增加压力,使牙齿排列整齐,过程比较长。带牙套的另一个作用是修补牙齿,将崩裂或纵裂的牙齿套上,再作适当的修补,使患齿恢复较正常的咀嚼功能。
金属托槽矫正
优点:费用较低些
缺点:矫正时间长,一般需要三年左右,矫正过程需动及牙根。比较适合未成年人矫正,成年人矫正容易出现反弹现象。
价格:点击咨询
牙错位矫正多少钱?eBrace舌侧隐形矫正技术
eBrace?舌侧隐形矫正技术是由我院正畸名家孔卫东博士领衔的医疗团队发明的牙齿矫正技术。区别于传统的唇侧矫治技术,eBrace(易美)?将矫正器全部藏在牙齿的背面,能让您在旁人毫无察觉中完成牙齿矫正。
舌侧隐形矫正
优点:避免口腔损伤,完全隐形,看不出痕迹
缺点:价格较高
价格:点击咨询
牙错位矫正多少钱?无托槽隐形矫正
无托槽隐形矫正采用的是完全个性化的设计理念,每一个矫治器都是为患者专门设计,通过三维诊断软件,医生还可以在矫治前在计算机上模拟临床上的牙齿移动方式,逐步达到矫治目标,也让患者更清楚地感受到矫治后的完美形象,从而实现了错合畸形矫治模拟过程及结果的三维可视化。然后再结合先进的三维激光快速成形技术,制作出每个矫治阶段的透明压模隐形矫治器。
无托槽隐形矫正
优点:手术时间短,一个多小时可以完成手术过程
缺点:手术风险无
价格:点击咨询
选择正规医院,挑选好医师,给自己的牙齿矫正。穗华口腔医院是拥有百年人文底蕴的暨南大学附属口腔医院临床教学医院,是广东省卫生厅批准成立的口腔专科医院,是集口腔诊疗、教学和科研为一体的现代化口腔综合医院,是您看牙的放心信赖之选!
由于篇幅有限,本文就为大家介绍这么多,关于牙错位矫正多少钱?如果您还有疑问或想了解更多,可点击在线咨询,届时与我院专家一对一沟通交流。
(版权归穗华口腔医院所有,如需转载请注明文章来源:穗华口腔医院 http://www.62266666.com)
穗华品牌
穗华口腔医院作为暨南大学授权合作医院,是依托国内外权威硕博专家医资和口腔医学优势所建立的一所集临床、教学、科研、预防为一体的现代化口腔专科医院,开创了中国医疗改革创新示范的先河。
快速通道
医院动态
1
2026穗华口腔“一老一小”专利技术节 | 数智化革新 专利矫好牙
2
2026穗华口腔“一老一小”专利技术节 | 守护天然牙 健康全口牙
3
高手交锋——12位医生同台展示正畸病例,专家点评助力临床精进
4
传承九届——穗华口腔以病例为抓手,筑牢正畸人才培养根基
5
穗华口腔十年庆典圆满举办,粤港澳临床医学学会致贺寄望
查看完整动态>
推荐专家
收起
特色诊疗项目
收起






























































