四环素牙如何美白?
时间:2015-07-04 17:58:15 来源:未知 作者:穗华口腔医院 阅读量:329
导读
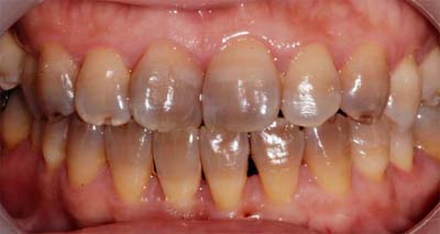
四环素牙(tetracycline pigmentation teeth)是一种在牙齿发育期中对四环素族药物使用不当所致的内源性永久性着色。包括四环素、金霉素、地美环素(去甲金霉素)和土霉素......
四环素牙(tetracycline pigmentation teeth)是一种在牙齿发育期中对四环素族药物使用不当所致的内源性性着色。包括四环素、金霉素、地美环素(去甲金霉素)和土霉素(地霉素),尤以四环素为明显。那么四环素牙如何美白?下文为大家揭晓四环素牙美白的方法。

四环素牙
四环素牙如何美白?穗华口腔3D超薄瓷贴面 自然美观 不伤牙齿 持久舒适
自然美观:具有良好的生物通透性,且不含任何金属成分,色泽逼真,自然不着色,美学效果好。
不伤牙齿:牙齿“0”损伤,不刺激邻近牙齿组织,易于清洁,更能有效的保护牙周健康。
持久舒适:轻薄至0.2mm,修复硬度高达400Mpa,使用寿命,保持好可达20年之久。
四环素牙如何美白?穗华口腔皓齿美白 即刻美白 健康环保 自然美观 持久美白
即刻美白。15分钟产生美白作用,缩短治疗时间,减少患者张口时长,美白程度迅速提高5-14个色阶。
健康环保。操作过程不接触牙龈,完全避免了对牙神经的伤害,同时对牙结构不会造成任何伤害。
自然美观。通过氟化剂保护牙齿,分解深层牙色素。让牙齿自然洁白,富光泽、有透明感。持久美白。氟化剂促使牙釉质新生而形成对牙齿的保护,美白效果更加明显,更持久。
四环素牙如何美白?穗华口腔 Beyond冷光美白 即刻美白 健康环保 自然美观 持久美白
即刻美白。15分钟美白,缩短治疗时间,减少患者张口时长,美白程度迅速提高5-14个色阶。
健康环保。操作过程不接触牙龈,完全避免了对牙神经伤害,同时对牙结构不会造成任何伤害。
自然美观。通过氟化剂保护牙齿,分解深层牙色素。让牙齿自然洁白,富光泽、有透明感。
持久美白。氟化剂促使牙釉质新生而形成对牙齿的保护,美白效果更加明显,更持久。
选择正规医院,挑选好医师,给自己的牙齿治疗。穗华口腔医院是拥有百年人文底蕴的暨南大学附属口腔医院临床教学医院,是广东省卫生厅批准成立的口腔专科医院,是集口腔诊疗、教学和科研为一体的现代化口腔综合医院,是您看牙的放心信赖之选!
由于篇幅有限,本文就为大家介绍这么多,关于四环素牙如何美白?如果您还有疑问或想了解更多,可点击在线咨询,届时与我院专家一对一沟通交流。
(版权归穗华口腔医院所有,如需转载请注明文章来源:穗华口腔医院 http://www.62266666.com)
穗华品牌
穗华口腔医院作为暨南大学授权合作医院,是依托国内外权威硕博专家医资和口腔医学优势所建立的一所集临床、教学、科研、预防为一体的现代化口腔专科医院,开创了中国医疗改革创新示范的先河。
快速通道
医院动态
1
2026穗华口腔“一老一小”专利技术节 | 数智化革新 专利矫好牙
2
2026穗华口腔“一老一小”专利技术节 | 守护天然牙 健康全口牙
3
高手交锋——12位医生同台展示正畸病例,专家点评助力临床精进
4
传承九届——穗华口腔以病例为抓手,筑牢正畸人才培养根基
5
穗华口腔十年庆典圆满举办,粤港澳临床医学学会致贺寄望
查看完整动态>
推荐专家
收起
特色诊疗项目
收起






























































