牙齿拥挤分几种情况?
时间:2015-10-09 18:27:33 来源:未知 作者:穗华口腔医院 阅读量:266
导读
有位朋友向小编叙述了自己的烦恼,小茗是位ktv达人,也就是大家常说的麦霸,但是由于牙齿拥挤不齐,使得她不敢在人前引吭高歌,生怕牙齿外露尴尬,破坏自......
有位朋友向小编叙述了自己的烦恼,小茗是位ktv达人,也就是大家常说的“麦霸”,但是由于牙齿拥挤不齐,使得她不敢在人前引吭高歌,生怕牙齿外露尴尬,破坏自己的形象。相信很多人都有小茗一样的烦恼,那么大家知道牙齿拥挤分几种情况吗?下面请穗华口腔医院的专家来为大家讲解一下。
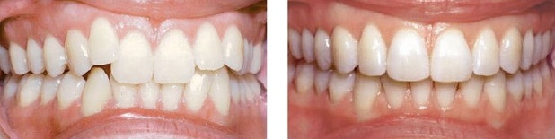
牙齿矫正前后对比
穗华口腔专家介绍:牙齿拥挤分两种情况
1、复杂拥挤的情况,除牙量不调造成的拥挤之外,还存在颌骨、牙弓间关系不调,并影响到患者的面形,有时还伴有口颌系统功能异常;复杂拥挤时拥挤本身只是一个症状,并不是错牙性错乱的主要方面。
1、单纯拥挤可视为牙性错乱,一般不伴颌骨及牙弓间关系不调,也少有口颌系统功能异常,磨牙关系中性,面形基本正常。
针对很多患者在矫正时想少拔牙的情况,穗华口腔推出了eBrace舌侧隐形矫正技术。该技术具有四大优势:
1、技术先进。采用计算机辅助设计制造CAD/CAM和数字投影快速成型DLP等先进技术。
2、完全隐形。托槽在牙齿背面,既保护了隐私,因无遮挡,也便于医生观察牙齿移动情况。
3、避免口腔损伤。避免唇侧牙釉质受酸蚀剂作用脱钙;避免运动中矫正器对唇部的损伤。
4、量齿定做。根据牙齿终理想状态而设计的各阶段的个性化弓丝和托槽。
温馨提醒:越早治疗,越早康复。特别是牙齿拥挤等口腔畸形症状,越早治疗效果会越好。穗华口腔会为您带来一站式治疗。如果您想了解关于牙齿矫正的问题,欢迎您点击在线咨询,与我们的专家进行深入交流。
(版权归穗华口腔医院所有,如需转载请注明文章来源:穗华口腔医院 http://www.62266666.com)
穗华品牌
穗华口腔医院作为暨南大学授权合作医院,是依托国内外权威硕博专家医资和口腔医学优势所建立的一所集临床、教学、科研、预防为一体的现代化口腔专科医院,开创了中国医疗改革创新示范的先河。
快速通道
医院动态
1
2026穗华口腔“一老一小”专利技术节 | 数智化革新 专利矫好牙
2
2026穗华口腔“一老一小”专利技术节 | 守护天然牙 健康全口牙
3
高手交锋——12位医生同台展示正畸病例,专家点评助力临床精进
4
传承九届——穗华口腔以病例为抓手,筑牢正畸人才培养根基
5
穗华口腔十年庆典圆满举办,粤港澳临床医学学会致贺寄望
查看完整动态>
推荐专家
收起
特色诊疗项目
收起






























































