牙齿长得乱的原因是什么?
时间:2015-10-08 16:51:15 来源:未知 作者:穗华口腔医院 阅读量:284
导读
现代出现这样一个现象,很多孩子的牙齿都长得很乱,怎么会出现这种现象呢?牙齿长得乱的原因是什么呢?让我们来听听穗华口腔医院专家的分析。 牙齿拥挤矫......
现代出现这样一个现象,很多孩子的牙齿都长得很乱,怎么会出现这种现象呢?牙齿长得乱的原因是什么呢?让我们来听听穗华口腔医院专家的分析。
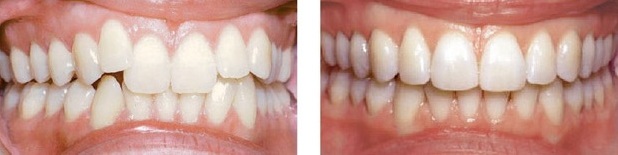
牙齿拥挤矫正前后对比
穗华口腔专家分析:牙齿错牙合畸形的原因有很多,大体可以归纳为两类:遗传因素和环境因素。根据临床统计,错牙合畸形的病因中遗传因素占29%,环境因素占71%。在环境因素中后天的因素又起着很大的作用,其中咀嚼功能退化是主要原因之一。
在人类进化过程中,食物由生到熟、由粗到细、由硬到软,咀嚼器官的功能日益减弱,而咀嚼器官退化、减少出现不平衡现象,即肌肉居先,颌骨次之,牙齿再次之,颌骨减少而牙齿的数量没有减少,因而颌骨容纳不下所有的牙齿,导致出现牙齿拥挤等畸形。现在儿童的食品越来越精细,比如大量的奶制品、面包、膨化食品,致使孩子的咀嚼功能越来越弱,同时,孩子也越来越懒得咀嚼硬东西,这使得孩子的牙齿和口腔内外的肌肉得不到应有的锻炼,导致肌肉无力、萎缩,进而颌骨也不能很好地发育,而牙齿的数量没有减少,所以现在儿童牙齿错牙合畸形的发病率越来越多了。另一方面,精细的食物还容易引起牙齿龋坏,造成牙齿缺损,致使乳牙过早丢失,引起恒牙萌出的间隙不足,进而造成牙齿排列不齐。
预防儿童牙齿畸形需要注意的几个问题:
1、加强儿童咀嚼功能训练,充分锻炼口腔肌肉功能,进而有效刺激下颌骨的生长发育。日常生活中有目的地给孩子多吃一些坚硬耐磨的食品,如排骨、牛肉干、锅巴、干馒头、苹果等。?
2、孩子出生后2岁左右,乳牙基本完全萌出,此时应定期到医院口腔科检查,留下纵向的记录,做到及时发现问题及时治疗。
穗华口腔医院是您爱牙的放心之选
穗华口腔医院是拥有百年人文底蕴的暨南大学附属口腔医院临床教学医院,是广东省卫生厅批准成立的口腔专科医院,是集口腔诊疗、教学和科研为一体的现代化口腔综合医院,是您看牙的放心信赖之选!如果您还有其他疑问或需要帮助,还可以点击在线咨询,或者拔打免费热线:020—62266666。百度100遍,不如咨询1次。
(版权归穗华口腔医院所有,如需转载请注明文章来源:穗华口腔医院 http://www.62266666.com)
穗华品牌
穗华口腔医院作为暨南大学授权合作医院,是依托国内外权威硕博专家医资和口腔医学优势所建立的一所集临床、教学、科研、预防为一体的现代化口腔专科医院,开创了中国医疗改革创新示范的先河。
快速通道
医院动态
1
2026穗华口腔“一老一小”专利技术节 | 数智化革新 专利矫好牙
2
2026穗华口腔“一老一小”专利技术节 | 守护天然牙 健康全口牙
3
高手交锋——12位医生同台展示正畸病例,专家点评助力临床精进
4
传承九届——穗华口腔以病例为抓手,筑牢正畸人才培养根基
5
穗华口腔十年庆典圆满举办,粤港澳临床医学学会致贺寄望
查看完整动态>
推荐专家
收起
特色诊疗项目
收起






























































