造成牙齿拥挤的原因
时间:2015-09-30 17:40:48 来源:未知 作者:穗华口腔医院 阅读量:320
导读
在现代牙齿整齐美观是一种生活态度,也是一种对美的追求,但牙齿拥挤在人群中却占有多数,牙齿拥挤是常见的错合畸形,表现为牙齿拥挤错位排列不齐;而拥挤......
在现代牙齿整齐美观是一种生活态度,也是一种对美的追求,但牙齿拥挤在人群中却占有多数,牙齿拥挤是常见的错合畸形,表现为牙齿拥挤错位排列不齐;而拥挤牙齿的龋齿率及牙周病发生率均较正常排列牙齿高。那么造成牙齿拥挤的原因是什么呢?今天就让穗华口腔医院专家来为各位讲解牙列拥挤的形成原因。
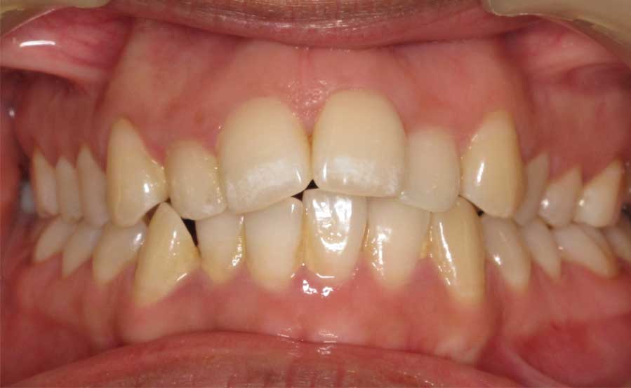
牙齿拥挤
穗华专家指出牙齿拥挤的以下几点原因:
一、颌骨发育不足:颌骨发育不足造成大量骨量不调,牙齿不能整齐排列在齿槽内,而拥挤错位。
二、替牙期故障:替牙期的故障是造成牙列拥挤的常见病因,如因乳牙早失,造成邻牙前移占据缺牙隙而造成恒牙萌出时间间隙不足而错位。另如乳牙滞留,可造成相继恒牙萌出错位。
三、不良习惯:一些口腔不良习惯如儿童的吮指、口呼吸等,可造成牙弓狭窄或影响颌骨发育,而致牙齿排列拥挤。
四、牙齿过大:由于牙齿近远中宽度过大,可造成牙齿排列拥挤错位。
五、遗传因素:牙列拥挤具有明显的遗传特征,从个别牙的拥挤错位或多数牙的拥挤,甚至某一个牙的扭转程度,都可以在亲代和子代上有相同的表现。这种遗传特征是客观存在的,但是对于其详细的遗传机理至今还不十分清楚。
脸部是每一个人的门面,为了自己的门面美观。患有牙齿拥挤的患者要尽早就医。穗华口腔拥有资深的医生和贴心的服务,让您能享受到宾至如归的医疗体验。
客户满意是穗华人永远的旗帜,在穗华,您可以享受整洁、明亮的单人独立诊室 ;在穗华,您可以阅览杂志 、免费上网、享受免费水果零食。这里没有拥挤、没有等待、没有医疗恐惧感。
在穗华,微笑贴心的护士为客户创造一个良好的治疗和康复环境,她们总是做到急客户之所急,想客户之所想!客户经常这样一句评价:像对待自己家人一般。保持亲和力是穗华的必修功课,在这里多的是温情,少的是冷漠!
小编提醒:穗华口腔医院为广大患者提供免费在线咨询服务,如果您有任何关于口腔方面的问题,都可以点击在线咨询和穗华口腔的专家进行一对一的交流,让穗华口腔的专家为您排忧解难。
(版权归穗华口腔医院所有,如需转载请注明文章来源:穗华口腔医院 http://www.62266666.com)
穗华品牌
穗华口腔医院作为暨南大学授权合作医院,是依托国内外权威硕博专家医资和口腔医学优势所建立的一所集临床、教学、科研、预防为一体的现代化口腔专科医院,开创了中国医疗改革创新示范的先河。
快速通道
医院动态
1
2026穗华口腔“一老一小”专利技术节 | 数智化革新 专利矫好牙
2
2026穗华口腔“一老一小”专利技术节 | 守护天然牙 健康全口牙
3
高手交锋——12位医生同台展示正畸病例,专家点评助力临床精进
4
传承九届——穗华口腔以病例为抓手,筑牢正畸人才培养根基
5
穗华口腔十年庆典圆满举办,粤港澳临床医学学会致贺寄望
查看完整动态>
推荐专家
收起
特色诊疗项目
收起






























































