牙齿不齐有哪些坏处?
时间:2015-09-30 17:37:26 来源:未知 作者:穗华口腔医院 阅读量:268
导读
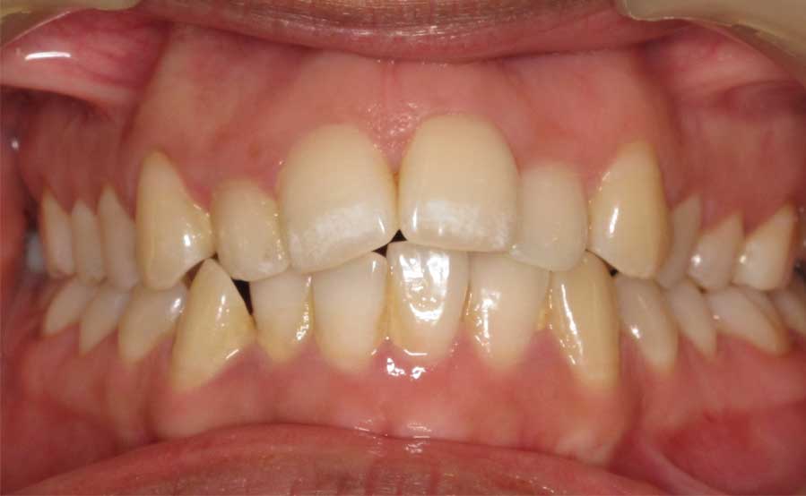
牙齿不齐在人群中很常见,牙齿不齐不但会影响牙齿美观,对口腔健康也很有影响,那么牙齿不齐具体有哪些坏处呢?下文为大家做出介绍。 牙齿不齐 牙齿不齐有......
牙齿不齐在人群中很常见,牙齿不齐不但会影响牙齿美观,对口腔健康也很有影响,那么牙齿不齐具体有哪些坏处呢?下文为大家做出介绍。
牙齿不齐
牙齿不齐有以下的坏处:
1、牙齿不齐常伴有牙齿拥挤的情况,表现为牙齿里出外进,不美观,不易清洁,这样很容易患龋齿,并且还易形成牙结石,从而引起牙周疾病。此外,牙齿不齐对牙齿的咀嚼功能也会造成一定的障碍。
2、牙齿排列不齐直接影响刷牙,有些缝隙刷不到,使食物残渣在死角里滋生细菌,容易形成蛀牙;口腔清洁也受到影响,长期以往将引发牙周炎近而导致牙齿松动。
3、些人因牙齿排列不齐还会导致牙齿异常磨损,引起口臭、颞下颌关节问题等,严重的会影响说话发音。
因此,患有牙齿不齐应尽快到正规口腔专科接受治疗。穗华口腔专家为广大患者推荐美国隐适美矫正技术。
隐适美隐形矫正技术,来自美国的进口"隐形牙箍",不用钢丝、不用托槽,丝毫不影响美观。外表近乎透明,厚度更小于 1mm,戴上去几乎看不出来。可自行摘带,卫生方便,让患者在不知不觉中恢复正常颌面形态。
温馨提醒:牙齿不齐、龅牙等常见的症状都属于牙齿畸形,可以进行矫正治疗。广大患者切勿因为轻视,而错过好的的矫正时间。如果您还有其他疑问或需要帮助,还可以点击在线咨询,或者拔打免费电话:020—62266666。百度100遍,不如咨询1次。
(版权归穗华口腔医院所有,如需转载请注明文章来源:穗华口腔医院 http://www.62266666.com)
穗华品牌
穗华口腔医院作为暨南大学授权合作医院,是依托国内外权威硕博专家医资和口腔医学优势所建立的一所集临床、教学、科研、预防为一体的现代化口腔专科医院,开创了中国医疗改革创新示范的先河。
快速通道
医院动态
1
2026穗华口腔“一老一小”专利技术节 | 数智化革新 专利矫好牙
2
2026穗华口腔“一老一小”专利技术节 | 守护天然牙 健康全口牙
3
高手交锋——12位医生同台展示正畸病例,专家点评助力临床精进
4
传承九届——穗华口腔以病例为抓手,筑牢正畸人才培养根基
5
穗华口腔十年庆典圆满举办,粤港澳临床医学学会致贺寄望
查看完整动态>
推荐专家
收起
特色诊疗项目
收起






























































