种植半口牙需要多长时间?
时间:2015-09-29 17:30:59 来源:未知 作者:穗华口腔医院 阅读量:189
导读
俗话说身体是革命的本钱,牙齿健康关乎身体健康,如果半口牙缺失,连饮食都困难,身体还能好吗?对于半口牙缺失的患者,穗华口腔医院专家推荐种植牙,种......
俗话说身体是革命的本钱,牙齿健康关乎身体健康,如果半口牙缺失,连饮食都困难,身体还能好吗?对于半口牙缺失的患者,穗华口腔医院专家推荐种植牙,种植牙是非常好的修复方式。那么,种植半口牙需要多长的时间?
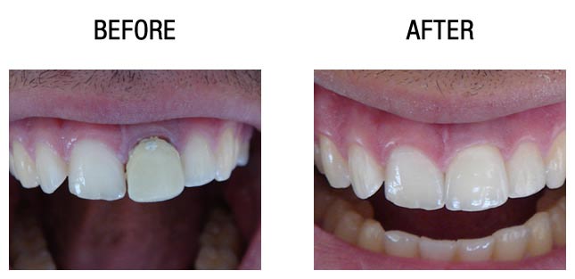
种植牙前后对比
穗华种植牙专家介绍,种植牙的时间是因患者自身情况而定的,一般情况下,植入一颗种植体的时间约为15~30分钟,但是每个人的情况都有所不同,如果需要植骨或结合其他治疗,则还要更长的时间。具体所需的时间应视个人治疗情况不同而异。
选择好的种植技术有利于缩短种植牙时间和减少术后并发症。那么选择哪种种植技术较好呢?
3D靶向种植牙技术,是暨南大学多位种植名家多年积累的义齿修复技术和经验,与一系列国际前沿齿科设备结合的产物,应用意大利NewTom曲面断层扫描CBCT技术、德国WIELAND CAD/CAM计算机辅助设计与制作技术、美国Ambulanc笑气镇静镇痛系统、丹麦3shape 3D打印技术及3shape TRIOS激光扫描重建技术等,从5个方面打造穗华种植牙“40年预期留存率”超过90%的“长寿基因”!
【3D靶向种植牙技术的优点】
1定位更精准:CT3D颌面扫描、CAD设计方案,实现了种植体精准定位。
2种植更安全:利用激光扫描和3D打印技术制作种植导板(用于精确指导种植体位置和方向的模板),医生在导板辅助下轻松手术,杜绝失误。
3笑气镇痛更舒适:Ambulanc是目前欧美牙医的镇静镇痛技术,能让牙科恐惧症、晕血症和儿童患者轻松愉悦地“享受”牙科治疗。
4治好牙周更长寿:种植牙患者大多有牙周病,而不治牙周病,种植牙迟早脱落。穗华口腔拥有华南领先的牙周科,跨科会诊确保高质量种植牙。
5重建咬合更和谐:种植牙与邻牙不紧密易塞牙,与对牙不协调咀嚼无力。穗华口腔异常重视种植牙的咬合关系,力求让每一颗种植牙都与患者口腔和谐相处。
【温馨提示】如果您还有其他疑问或需要帮助,还可以点击在线咨询,或者拔打免费电话:020—62266666。百度100遍,不如咨询1次。
(版权归穗华口腔医院所有,如需转载请注明文章来源:穗华口腔医院 http://www.62266666.com)
穗华品牌
穗华口腔医院作为暨南大学授权合作医院,是依托国内外权威硕博专家医资和口腔医学优势所建立的一所集临床、教学、科研、预防为一体的现代化口腔专科医院,开创了中国医疗改革创新示范的先河。
快速通道
医院动态
1
2026穗华口腔“一老一小”专利技术节 | 数智化革新 专利矫好牙
2
2026穗华口腔“一老一小”专利技术节 | 守护天然牙 健康全口牙
3
高手交锋——12位医生同台展示正畸病例,专家点评助力临床精进
4
传承九届——穗华口腔以病例为抓手,筑牢正畸人才培养根基
5
穗华口腔十年庆典圆满举办,粤港澳临床医学学会致贺寄望
查看完整动态>
推荐专家
收起
特色诊疗项目
收起






























































