种植牙哪里好?
时间:2015-09-29 17:24:40 来源:未知 作者:穗华口腔医院 阅读量:263
导读
种植牙是目前修复牙齿缺失很有效的方式,具有其他牙齿修复方式不可媲美的优点,那么种植牙哪里好,好在哪里?下面列举一位女士的经历,相信你一定会有答......
种植牙是目前修复牙齿缺失很有效的方式,具有其他牙齿修复方式不可媲美的优点,那么种植牙哪里好,好在哪里?下面列举一位女士的经历,相信你一定会有答案。
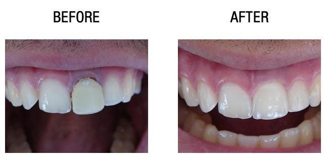
种植牙前后对比
来自天河区的王女士对此深有感触。14岁时的她不幸遭受意外失去了上排3颗牙齿,随着时间的推移以及护理不当等问题,30岁时她的上排牙齿就几乎掉光了,不仅无法尽享美食,更让她崩溃的是容颜因此而渐显苍老。
饱受假牙疾苦的张女士,通过医学院的朋友、报纸、甚至远在美国的亲友推荐等多方面的渠道,了解到穗华口腔拥有专业种植技术,于是来到了穗华口腔。根据王女士的口腔情况和她本人对牙齿美观、咀嚼功能的两大要求,穗华专家为她定制3D靶向种植牙,既能快速修复牙齿,恢复咀嚼,同时能够达到较好的美观程度,该技术具有微创无痛的特点,也能避免她遭受痛苦。手术结束时,王女士的牙齿焕然一新、宛若新生。
种植牙哪里好?
3D靶向种植牙技术,是暨南大学多位种植名家多年积累的义齿修复技术和经验,与一系列国际前沿齿科设备结合的产物,应用意大利NewTom曲面断层扫描CBCT技术、德国WIELAND CAD/CAM计算机辅助设计与制作技术、美国Ambulanc笑气镇静镇痛系统、丹麦3shape 3D打印技术及3shape TRIOS激光扫描重建技术等,从5个方面打造穗华种植牙“40年预期留存率”超过90%的“长寿基因”!?
1定位更精准:CT3D颌面扫描、CAD设计方案,实现了种植体精准定位。
2种植更安全:利用激光扫描和3D打印技术制作种植导板(用于精确指导种植体位置和方向的模板),医生在导板辅助下轻松手术,杜绝失误。
3笑气镇痛更舒适:Ambulanc是目前欧美牙医的镇静镇痛技术,能让牙科恐惧症、晕血症和儿童患者轻松愉悦地“享受”牙科治疗。
4治好牙周更长寿:种植牙患者大多有牙周病,而不治牙周病,种植牙迟早脱落。穗华口腔拥有华南领先的牙周科,跨科会诊确保高质量种植牙。
5重建咬合更和谐:种植牙与邻牙不紧密易塞牙,与对牙不协调咀嚼无力。穗华口腔异常重视种植牙的咬合关系,力求让每一颗种植牙都与患者口腔和谐相处。
以上就是关于种植牙哪里好的介绍,如果想了解更多资讯,欢迎点击咨询在线专家,或拨打免费热线:020—62266666,穗华口腔专家将用专业的意见提供给您优质的咨询服务。
(版权归穗华口腔医院所有,如需转载请注明文章来源:穗华口腔医院 http://www.62266666.com)
穗华品牌
穗华口腔医院作为暨南大学授权合作医院,是依托国内外权威硕博专家医资和口腔医学优势所建立的一所集临床、教学、科研、预防为一体的现代化口腔专科医院,开创了中国医疗改革创新示范的先河。
快速通道
医院动态
1
2026穗华口腔“一老一小”专利技术节 | 数智化革新 专利矫好牙
2
2026穗华口腔“一老一小”专利技术节 | 守护天然牙 健康全口牙
3
高手交锋——12位医生同台展示正畸病例,专家点评助力临床精进
4
传承九届——穗华口腔以病例为抓手,筑牢正畸人才培养根基
5
穗华口腔十年庆典圆满举办,粤港澳临床医学学会致贺寄望
查看完整动态>
推荐专家
收起
特色诊疗项目
收起






























































