3D靶向种植牙技术详解
时间:2015-09-29 17:23:13 来源:未知 作者:穗华口腔医院 阅读量:422
导读
3D靶向种植牙技术是众多种植技术中的一种,可以完美解决缺牙遗憾,种植出来的牙齿和真牙一样,没有任何区别,下面就让我们来详细了解一下。 种植牙前后对......
3D靶向种植牙技术是众多种植技术中的一种,可以完美解决缺牙遗憾,种植出来的牙齿和真牙一样,没有任何区别,下面就让我们来详细了解一下。
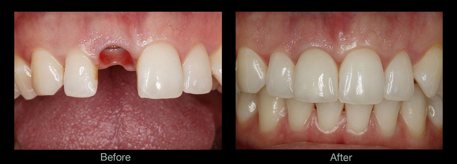
种植牙前后对比
一、什么是3D靶向种植牙技术
3D靶向种植牙技术,是暨南大学多位种植名家多年积累的义齿修复技术和经验,与一系列国际前沿齿科设备结合的产物,应用意大利NewTom曲面断层扫描CBCT技术、德国WIELAND CAD/CAM计算机辅助设计与制作技术、美国Ambulanc笑气镇静镇痛系统、丹麦3shape 3D打印技术及3shape TRIOS激光扫描重建技术等,从5个方面打造穗华种植牙“40年预期留存率”超过90%的“长寿基因”!?
二、3D靶向种植牙技术的优势?
1定位更精准:CT3D颌面扫描、CAD设计方案,实现了种植体精准定位。
2种植更安全:利用激光扫描和3D打印技术制作种植导板(用于精确指导种植体位置和方向的模板),医生在导板辅助下轻松手术,杜绝失误。
3笑气镇痛更舒适:Ambulanc是目前欧美牙医的镇静镇痛技术,能让牙科恐惧症、晕血症和儿童患者轻松愉悦地“享受”牙科治疗。
4治好牙周更长寿:种植牙患者大多有牙周病,而不治牙周病,种植牙迟早脱落。穗华口腔拥有华南领先的牙周科,跨科会诊确保高质量种植牙。
5重建咬合更和谐:种植牙与邻牙不紧密易塞牙,与对牙不协调咀嚼无力。穗华口腔异常重视种植牙的咬合关系,力求让每一颗种植牙都与患者口腔和谐相处。
三、3D靶向种植牙技术的适应人群:
1、缺失一颗牙,特别是缺失前牙,做种植牙可以和真牙一样,而且不用磨两边的牙齿。
2、缺失多个牙或全部牙,使用传统假牙有困难,功能不好,戴不牢的患者。
3、对假牙的美观、功能有更高要求患者。
4、缺牙周围的余留牙有问题,不能做传统假牙患者。
以上便是关于3D靶向种植牙技术的详细介绍,穗华口腔专家温馨提示,种植牙属于技术性很强的工作,为了保证种植牙的效果,一定要选择专业的正规的口腔专科。美丽的牙齿成就您的魅力笑容,穗华口腔可以为你圆美齿梦想!如果您还有其他疑问或需要帮助,还可以点击在线咨询,或者拔打免费电话:020—62266666。百度100遍,不如咨询1次。
(版权归穗华口腔医院所有,如需转载请注明文章来源:穗华口腔医院 http://www.62266666.com)
穗华品牌
穗华口腔医院作为暨南大学授权合作医院,是依托国内外权威硕博专家医资和口腔医学优势所建立的一所集临床、教学、科研、预防为一体的现代化口腔专科医院,开创了中国医疗改革创新示范的先河。
快速通道
医院动态
1
2026穗华口腔“一老一小”专利技术节 | 数智化革新 专利矫好牙
2
2026穗华口腔“一老一小”专利技术节 | 守护天然牙 健康全口牙
3
高手交锋——12位医生同台展示正畸病例,专家点评助力临床精进
4
传承九届——穗华口腔以病例为抓手,筑牢正畸人才培养根基
5
穗华口腔十年庆典圆满举办,粤港澳临床医学学会致贺寄望
查看完整动态>
推荐专家
收起
特色诊疗项目
收起






























































