半口牙缺失怎么办?
时间:2015-09-28 18:43:50 来源:未知 作者:穗华口腔医院 阅读量:233
导读
半口牙缺失给生活带来了很大的麻烦,不仅影响牙齿咀嚼功能,还非常影响颜值,让生活失去自信心,那么半口牙缺失怎么办?种植牙技术让半口牙缺失的朋友恢......
半口牙缺失给生活带来了很大的麻烦,不仅影响牙齿咀嚼功能,还非常影响颜值,让生活失去自信心,那么半口牙缺失怎么办?种植牙技术让半口牙缺失的朋友恢复如初,重现牙齿的自然美观形态。
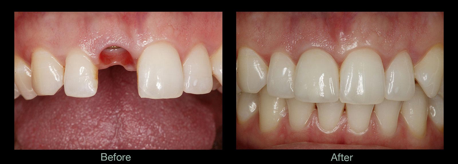
种植牙前后对比
种植牙给半口牙缺失患者希望
穗华口腔医院专家告诉大家说,如果是半口牙缺失,也可以采用种植牙治疗,不仅能恢复口腔功能,还能是牙齿美观大方。半口缺失的患者经牙槽外科手术植入牙槽骨后,因其牙根采用的是生理相容性极强的钛金属,种植体与周围骨组织发生骨结合后,就具有很强的固位和稳定性,可以像真牙一样长在口腔内,逼真地模仿了人类的天然牙。
技术介绍:3D靶向种植牙技术,是暨南大学多位种植名家多年积累的义齿修复技术和经验,与一系列国际前沿齿科设备结合的产物,应用意大利NewTom曲面断层扫描CBCT技术、德国WIELAND CAD/CAM计算机辅助设计与制作技术、美国Ambulanc笑气镇静镇痛系统、丹麦3shape 3D打印技术及3shape TRIOS激光扫描重建技术等,从5个方面打造穗华种植牙“40年预期留存率”超过90%的“长寿基因”!
友情提醒:牙齿种植是一项成熟的治疗技术,已经有无数患者通过种植牙齿获得新生。如果你在阅读文章时碰到不清楚的地方,欢迎点击在线咨询与我们专家进行一对一的交流,还可以拔打全国免费热线:020—62266666。您还可以在线挂号,为您节省宝贵的时间。
(版权归穗华口腔医院所有,如需转载请注明文章来源:穗华口腔医院 http://www.62266666.com)
穗华品牌
穗华口腔医院作为暨南大学授权合作医院,是依托国内外权威硕博专家医资和口腔医学优势所建立的一所集临床、教学、科研、预防为一体的现代化口腔专科医院,开创了中国医疗改革创新示范的先河。
快速通道
医院动态
1
2026穗华口腔“一老一小”专利技术节 | 数智化革新 专利矫好牙
2
2026穗华口腔“一老一小”专利技术节 | 守护天然牙 健康全口牙
3
高手交锋——12位医生同台展示正畸病例,专家点评助力临床精进
4
传承九届——穗华口腔以病例为抓手,筑牢正畸人才培养根基
5
穗华口腔十年庆典圆满举办,粤港澳临床医学学会致贺寄望
查看完整动态>
推荐专家
收起
特色诊疗项目
收起






























































