牙齿缺失有哪些危害?
时间:2015-09-28 18:42:20 来源:未知 作者:穗华口腔医院 阅读量:170
导读
牙齿缺失给我们的生活带来了很大的不便,不仅使我们的形象受损,还会影响身体健康。很多人觉得牙齿掉了就掉了,还有其他牙齿可以咀嚼食物,这样想就错了......
牙齿缺失给我们的生活带来了很大的不便,不仅使我们的形象受损,还会影响身体健康。很多人觉得牙齿掉了就掉了,还有其他牙齿可以咀嚼食物,这样想就错了,牙齿缺失的危害不可忽视,那么牙缺失有哪些危害呢?下面我们就来看看穗华口腔医院专家的介绍。
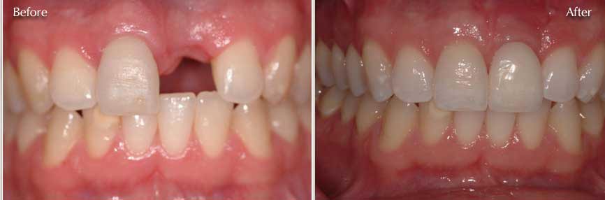
牙齿缺失种植前后对比
穗华口腔专家介绍牙缺失的危害如下:
1、牙齿缺失会使咀嚼效率随之降低甚至丧失,唾液分泌减少,胃肠蠕动减慢。食物还没未嚼碎就进入胃肠,消化系统的负担随之加重,不仅影响营养成分的吸收,严重的还会出现消化系统疾病。
2、当牙齿缺失较多时,剩余牙齿倾斜、移位或向对侧伸长等现象,使咬合关系紊乱,阻碍了下颌骨向前伸或左右运动。长此下去肌肉会出现疲劳,髁突后移,关节盘水肿,甚至出现疼痛、张不开口、关节弹响等症状,临床上称为颞下颌关节紊乱症。
3、脸型在人体美中占有重要的位置。多数人只知道眼睛对人的外貌很重要,却不知道,脸型的美观与谐调,是由完整的牙列来维持的。
4、说话离不开嘴巴,牙齿更是发音的辅助器官。如果前牙或全牙缺失,则会造成不同程度的发音障碍和口齿不清的现象。这不仅影响美观,更影响生活方方面面。
穗华口腔为各位患者推荐3D靶向种植牙技术,该技术具有下面几大优点:
1定位更精准:CT3D颌面扫描、CAD设计方案,实现了种植体精准定位。
2种植更安全:利用激光扫描和3D打印技术制作种植导板(用于精确指导种植体位置和方向的模板),医生在导板辅助下轻松手术,杜绝失误。
3笑气镇痛更舒适:Ambulanc是目前欧美牙医的镇静镇痛技术,能让牙科恐惧症、晕血症和儿童患者轻松愉悦地“享受”牙科治疗。
4治好牙周更长寿:种植牙患者大多有牙周病,而不治牙周病,种植牙迟早脱落。穗华口腔拥有华南领先的牙周科,跨科会诊确保高质量种植牙。
5重建咬合更和谐:种植牙与邻牙不紧密易塞牙,与对牙不协调咀嚼无力。穗华口腔异常重视种植牙的咬合关系,力求让每一颗种植牙都与患者口腔和谐相处。
温馨提醒:关于牙齿缺失有哪些危害这个问题,上文已经为您作出解答。如果你在阅读文章时碰到不清楚的地方,欢迎点击在线咨询与我们专家进行一对一的交流,还可以拔打全国免费热线:020—62266666。您还可以在线挂号,为您节省宝贵的时间。
(版权归穗华口腔医院所有,如需转载请注明文章来源:穗华口腔医院 http://www.62266666.com)
穗华品牌
穗华口腔医院作为暨南大学授权合作医院,是依托国内外权威硕博专家医资和口腔医学优势所建立的一所集临床、教学、科研、预防为一体的现代化口腔专科医院,开创了中国医疗改革创新示范的先河。
快速通道
医院动态
1
2026穗华口腔“一老一小”专利技术节 | 数智化革新 专利矫好牙
2
2026穗华口腔“一老一小”专利技术节 | 守护天然牙 健康全口牙
3
高手交锋——12位医生同台展示正畸病例,专家点评助力临床精进
4
传承九届——穗华口腔以病例为抓手,筑牢正畸人才培养根基
5
穗华口腔十年庆典圆满举办,粤港澳临床医学学会致贺寄望
查看完整动态>
推荐专家
收起
特色诊疗项目
收起






























































