种植牙可以无痛吗?
时间:2015-09-28 18:37:21 来源:未知 作者:穗华口腔医院 阅读量:390
导读
种植牙成为牙齿缺失的很好的修复方式,选择种植牙修复的人也越来越多,那么种植牙可以无痛吗?随着现代医疗技术的发展,种植牙已经可以采用无痛种植技术......
种植牙成为牙齿缺失的很好的修复方式,选择种植牙修复的人也越来越多,那么种植牙可以无痛吗?随着现代医疗技术的发展,种植牙已经可以采用无痛种植技术。下文让穗华口腔医院专家来介绍一下吧。
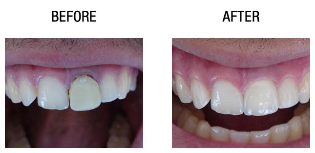
种植牙前后对比
穗华口腔专家介绍,只要医生技术精湛,那么无痛种植牙就是一项非常好的修复效果。无痛种植牙本身是非常安全的。
安全无痛
安全无痛是无痛种植牙大的优势所在。与传统种植牙需要切开翻起牙合、拆线等相比,无痛种植牙将创伤程度降低到小。且种植牙齿的全部过程仅需15分钟,大幅度缩短了种植时间,降低了感染几率。
效果显着
与传统的种植牙不同,微创种牙多采用进口影像诊断定位系统,对患者口腔做全方位扫描,经由电脑计算出精确数据分析定位后,即拔即种,避免了很多的伤害。比如漫长等待种植牙时的伤口感染等现象。
穗华口腔医院采用3D靶向种植牙技术,是暨南大学多位种植名家多年积累的义齿修复技术和经验,与一系列国际前沿齿科设备结合的产物,应用意大利NewTom曲面断层扫描CBCT技术、德国WIELAND CAD/CAM计算机辅助设计与制作技术、美国Ambulanc笑气镇静镇痛系统、丹麦3shape 3D打印技术及3shape TRIOS激光扫描重建技术等,从5个方面打造穗华种植牙“40年预期留存率”超过90%的“长寿基因”!
温馨提示:如果你在阅读文章时碰到不清楚的地方,可以通过咨询按钮咨询我们专家,如果你需要看病又不想排队挂号,也可以通过这里提前预约,我们将免费为你安排。可以点击我们的在线咨询,或者打电话:020—62266666,我们的在线专家会给您专业又详细的解答。
(版权归穗华口腔医院所有,如需转载请注明文章来源:穗华口腔医院 http://www.62266666.com)
穗华品牌
穗华口腔医院作为暨南大学授权合作医院,是依托国内外权威硕博专家医资和口腔医学优势所建立的一所集临床、教学、科研、预防为一体的现代化口腔专科医院,开创了中国医疗改革创新示范的先河。
快速通道
医院动态
1
2026穗华口腔“一老一小”专利技术节 | 数智化革新 专利矫好牙
2
2026穗华口腔“一老一小”专利技术节 | 守护天然牙 健康全口牙
3
高手交锋——12位医生同台展示正畸病例,专家点评助力临床精进
4
传承九届——穗华口腔以病例为抓手,筑牢正畸人才培养根基
5
穗华口腔十年庆典圆满举办,粤港澳临床医学学会致贺寄望
查看完整动态>
推荐专家
收起
特色诊疗项目
收起






























































