种植牙为什么那么贵?
时间:2015-09-22 17:40:33 来源:未知 作者:穗华口腔医院 阅读量:430
导读
种植牙作为完美的修复方式,拥有其他牙齿修复方式不能媲美的优点,因此选择种植牙的人越来越多。好多人会疑问,种植牙为什么那么贵?下面听穗华口腔专家......
种植牙作为完美的修复方式,拥有其他牙齿修复方式不能媲美的优点,因此选择种植牙的人越来越多。好多人会疑问,种植牙为什么那么贵?下面听穗华口腔专家来详细介绍。
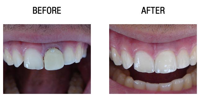
种植牙前后对比
穗华口腔专家介绍,种植牙的收费高不是没有依据的。它的材料以及它的修复效果都是影响价格的一个重大因素。
修复效果的影响
种植牙作为人类的第三副牙齿并不是空穴来风的。和其他修复方式相比种植牙具有显着的优势,种植牙的修复对相邻牙齿健康没有损伤,这是牙齿种植的优势。由于它的修复效果好,那么价格自然就会越高,一分钱一分货就是这样的一个道理。效果越好的东西,价格自然就会高些。
材料的影响
目前使用的设备和种植体材料都是进口的,进口种植体的生物相溶性更高,该技术直接采用将纯钛种植体植入牙龈下的牙槽骨中,由于钛拥有良好的生物相溶性,能与周围的骨形成类似真牙牙根与牙槽骨结合的方式,非常稳定,效果非常好,成本高的同时价格自然就会上涨。
穗华口腔采用3D靶向种植牙技术,是暨南大学多位种植名家多年积累的义齿修复技术和经验,与一系列国际前沿齿科设备结合的产物,应用意大利NewTom曲面断层扫描CBCT技术、德国WIELAND CAD/CAM计算机辅助设计与制作技术、美国Ambulanc笑气镇静镇痛系统、丹麦3shape 3D打印技术及3shape TRIOS激光扫描重建技术等,从5个方面打造穗华种植牙“40年预期留存率”超过90%的“长寿基因”!
温馨提示:如果你在阅读文章时碰到不清楚的地方,可以可以点击在线咨询,还可以拔打全国免费热线:020—62266666,我们的在线专家会给您专业,详细的解答。如果你需要看病又不想排队挂号,也可以通过这里提前预约,我们将免费为你安排。
(版权归穗华口腔医院所有,如需转载请注明文章来源:穗华口腔医院 http://www.62266666.com)
穗华品牌
穗华口腔医院作为暨南大学授权合作医院,是依托国内外权威硕博专家医资和口腔医学优势所建立的一所集临床、教学、科研、预防为一体的现代化口腔专科医院,开创了中国医疗改革创新示范的先河。
快速通道
医院动态
1
2026穗华口腔“一老一小”专利技术节 | 数智化革新 专利矫好牙
2
2026穗华口腔“一老一小”专利技术节 | 守护天然牙 健康全口牙
3
高手交锋——12位医生同台展示正畸病例,专家点评助力临床精进
4
传承九届——穗华口腔以病例为抓手,筑牢正畸人才培养根基
5
穗华口腔十年庆典圆满举办,粤港澳临床医学学会致贺寄望
查看完整动态>
推荐专家
收起
特色诊疗项目
收起






























































