老年人牙缺失怎么办好?
时间:2015-09-22 17:26:21 来源:未知 作者:穗华口腔医院 阅读量:173
导读
人随着年纪增加,牙齿也随之变得很脆弱,牙齿出现松动然后脱落,老年人本来是享清福的时候,该吃吃,该喝喝,可是牙齿掉光了,再好的山珍海味放在眼前,......
人随着年纪增加,牙齿也随之变得很脆弱,牙齿出现松动然后脱落,老年人本来是享清福的时候,该吃吃,该喝喝,可是牙齿掉光了,再好的山珍海味放在眼前,那也是食之无味啊,做子女的,看着父母那样痛苦、惆怅,心里也很不好受,想要保障父母的健康,补牙是好的办法,那么老年人牙缺失怎么办好?下面有请穗华口腔的专家为我们做以下详细的介绍吧。
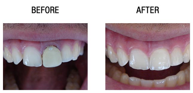
牙齿种植前后对比
穗华口腔专家介绍:传统的活动假牙修复,异物感太强,咀嚼感又太差,对老人的饮食来说也还是很大的影响。镶牙当然需要有健康的邻牙,但是绝大多数老人的牙齿都是脆弱的。种植牙技术先进但是很多人觉得贵,尤其是全口牙都缺失的情况下,更是害怕全口种植价格太贵。
事实上全口缺失并不需要全口种植,只要种植特殊部位的几颗牙齿,再采用其他的修复方式,这样的话,还可以避免全口假牙的不稳定。现在生活水平、医疗水平的提升,人们的普遍的存活年龄都在上升,种上好牙,可以受用终身,更是对老人身体健康的保障。
【种植技术推荐】
穗华口腔3D靶向种植牙技术,是暨南大学多位种植名家多年积累的义齿修复技术和经验,与一系列国际前沿齿科设备结合的产物,应用意大利NewTom曲面断层扫描CBCT技术、德国WIELAND CAD/CAM计算机辅助设计与制作技术、美国Ambulanc笑气镇静镇痛系统、丹麦3shape 3D打印技术及3shape TRIOS激光扫描重建技术等,从5个方面打造穗华种植牙“40年预期留存率”超过90%的“长寿基因”!
【温馨提示】关于老年人牙缺失怎么办好?大家都有所了解了吧,穗华口腔不仅有技术精湛的专家团队和先进的医疗设备,还有优雅、温馨的诊疗环境,是您看牙的放心信赖之选,如果您还有其他问题或需要帮助,可以点击在线咨询,还可以拔打全国免费热线:020—62266666。百度100遍,不如咨询1次。
(版权归穗华口腔医院所有,如需转载请注明文章来源:穗华口腔医院 http://www.62266666.com)
穗华品牌
穗华口腔医院作为暨南大学授权合作医院,是依托国内外权威硕博专家医资和口腔医学优势所建立的一所集临床、教学、科研、预防为一体的现代化口腔专科医院,开创了中国医疗改革创新示范的先河。
快速通道
医院动态
1
2026穗华口腔“一老一小”专利技术节 | 数智化革新 专利矫好牙
2
2026穗华口腔“一老一小”专利技术节 | 守护天然牙 健康全口牙
3
高手交锋——12位医生同台展示正畸病例,专家点评助力临床精进
4
传承九届——穗华口腔以病例为抓手,筑牢正畸人才培养根基
5
穗华口腔十年庆典圆满举办,粤港澳临床医学学会致贺寄望
查看完整动态>
推荐专家
收起
特色诊疗项目
收起






























































