多数牙缺失种植需要多少钱?
时间:2015-09-22 17:24:31 来源:未知 作者:穗华口腔医院 阅读量:297
导读
长期的牙齿缺失,牙床发生萎缩、吸收,导致牙床的高度降低,传统戴假牙戴不稳,特别是下颌义齿,一张口就脱落。对于多数牙缺失的患者,使用人工种植牙修......
长期的牙齿缺失,牙床发生萎缩、吸收,导致牙床的高度降低,传统戴假牙戴不稳,特别是下颌义齿,一张口就脱落。对于多数牙缺失的患者,使用人工种植牙修复技术,根据颌骨情况,植入数枚或十几枚植体,即可满意地解决义齿的稳定问题,恢复和提高咀嚼功能。那么,多数牙缺失种植需要多少钱?
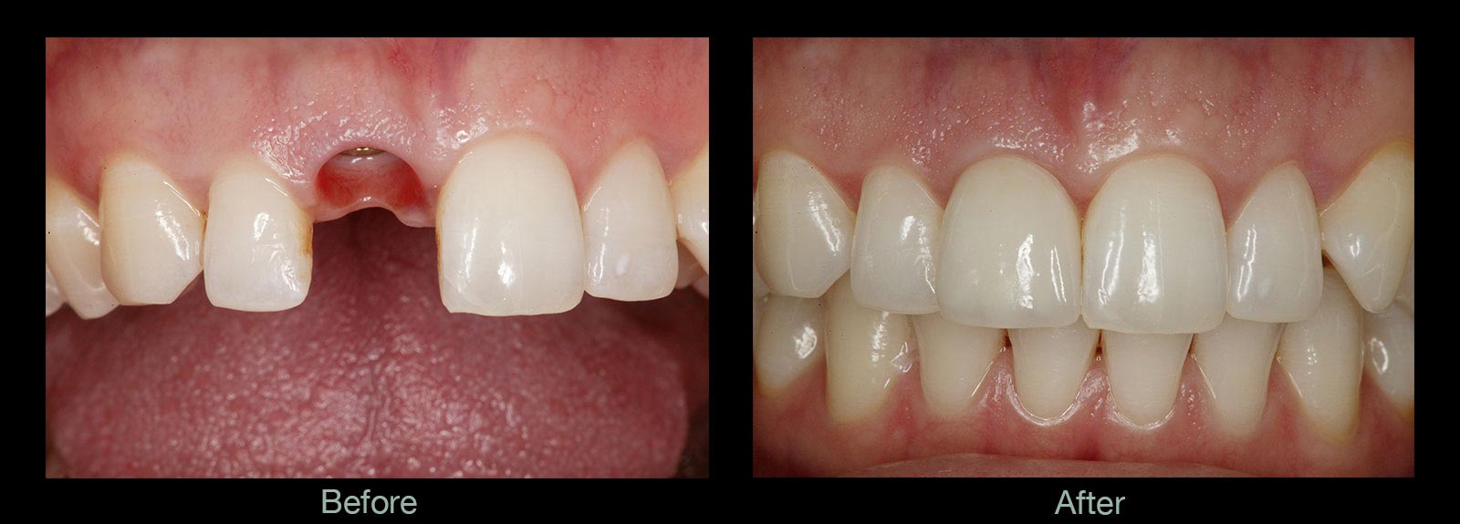
种植牙前后对比图
多数牙缺失种植的价格主要和以下几方面有关:
一、种植牙口腔医院的选择:不同的口腔医院收费的标准是不一样的,专业的种植牙机构里面的医生技术好,种植牙的质量高,价格就要贵。有些小诊所虽然说也可以进行种植牙而且价格较低,但是这都是没有保障的。?
二、种植牙数量的多少:种植牙数量的多少是影响种植牙价格的主要因素,种植牙的价格是以颗为计算的,有的患者需要种的牙齿较多自然更加差距就更大了。
三、种植牙系统的选择:种植牙系统的选择是影响种植牙价格的关键因素,品牌不同,他们的价格就有明显的差异。
广大牙齿缺失患者在关注牙齿种植费用的同时,还要多关注牙齿种植的方法。穗华口腔推出3D靶向种植牙技术,为各位患者带来福音。
3D靶向种植牙技术,是暨南大学多位种植名家多年积累的义齿修复技术和经验,与一系列国际前沿齿科设备结合的产物,应用意大利NewTom曲面断层扫描CBCT技术、德国WIELAND CAD/CAM计算机辅助设计与制作技术、美国Ambulanc笑气镇静镇痛系统、丹麦3shape 3D打印技术及3shape TRIOS激光扫描重建技术等,从5个方面打造穗华种植牙“40年预期留存率”超过90%的“长寿基因”!
温馨提醒:牙齿缺失问题不只影响我们的容貌,更有可能影响全身健康。患有口腔疾病的朋友切不可忽视口腔问题。为了您和家人的健康,一旦发现口腔问题请到专业的口腔医院就医。
(版权归穗华口腔医院所有,如需转载请注明文章来源:穗华口腔医院 http://www.62266666.com)
穗华品牌
穗华口腔医院作为暨南大学授权合作医院,是依托国内外权威硕博专家医资和口腔医学优势所建立的一所集临床、教学、科研、预防为一体的现代化口腔专科医院,开创了中国医疗改革创新示范的先河。
快速通道
医院动态
1
2026穗华口腔“一老一小”专利技术节 | 数智化革新 专利矫好牙
2
2026穗华口腔“一老一小”专利技术节 | 守护天然牙 健康全口牙
3
高手交锋——12位医生同台展示正畸病例,专家点评助力临床精进
4
传承九届——穗华口腔以病例为抓手,筑牢正畸人才培养根基
5
穗华口腔十年庆典圆满举办,粤港澳临床医学学会致贺寄望
查看完整动态>
推荐专家
收起
特色诊疗项目
收起






























































