牙齿拥挤是怎么造成的?
时间:2015-09-21 17:24:15 来源:未知 作者:穗华口腔医院 阅读量:272
导读
牙齿拥挤是很常见的一种牙齿畸形,影响健康和美观,其中,前牙拥挤比后牙拥挤更常见。临床上单纯的牙列拥挤较多见,那么牙列拥挤是怎么造成的?下文请听穗......
牙齿拥挤是很常见的一种牙齿畸形,影响健康和美观,其中,前牙拥挤比后牙拥挤更常见。临床上单纯的牙列拥挤较多见,那么牙列拥挤是怎么造成的?下文请听穗华口腔专家介绍。
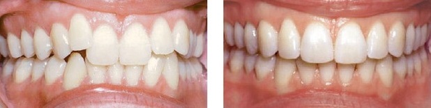
牙齿拥挤前后对比
穗华口腔专家介绍下列造成牙齿拥挤的缘由:
1、替牙期故障:替牙期的故障是造成牙列拥挤的常见病因,如因乳牙早失,造成邻牙前移占据缺牙隙而造成恒牙萌出时间间隙不足而错位,另如乳牙滞留,可造成相继恒牙萌出错位。
2、颌骨发育不足:颌骨发育不足造成大量骨量不调,牙齿不能整齐排列在齿槽内,而拥挤错位。
3、不良口腔习惯:如儿童的吮指,口呼吸等,可造成牙弓狭窄或影响颌骨发育,而致牙齿排列拥挤。
4、遗传因素:牙列拥挤具有明显的遗传特征,从个别牙的拥挤错位或多数牙的拥挤,甚至某一个牙的扭转程度,都可以在亲代和子代上有相同的表现。
穗华口腔为您推荐美国进口隐适美矫正技术
隐适美矫正技术是常见错牙合畸形、多学科联合矫治及正颌等疾病的治疗方法,较传统矫牙,具有矫治器隐形、佩戴舒适和复诊次数少等优势,在功能性、舒适度和美观度有提升。Invisalign隐适美牙套上有螺纹图案,具有哑光效果,牙齿即使在戴上牙套后也不会被发觉,实现真正的“隐形”效果。
隐适美矫正治疗方案包括一系列无托槽隐形矫治器,厚度小于1mm,如同隐形眼镜,每套矫治器均量齿定做,每两周进行更换。随着矫治器的更换,牙齿逐步移动,直至矫正到方案所设计的理想位置。
小编提醒:牙齿拥挤越早治疗效果越好。身体是革命的本钱,请广大患者切勿拖延,尽早就医。如果您有其他相关问题,欢迎点击在线咨询与穗华口腔的专家进行一对一的交流,让专家来解答您的疑惑。
(版权归穗华口腔医院所有,如需转载请注明文章来源:穗华口腔医院 http://www.62266666.com)
穗华品牌
穗华口腔医院作为暨南大学授权合作医院,是依托国内外权威硕博专家医资和口腔医学优势所建立的一所集临床、教学、科研、预防为一体的现代化口腔专科医院,开创了中国医疗改革创新示范的先河。
快速通道
医院动态
1
2026穗华口腔“一老一小”专利技术节 | 数智化革新 专利矫好牙
2
2026穗华口腔“一老一小”专利技术节 | 守护天然牙 健康全口牙
3
高手交锋——12位医生同台展示正畸病例,专家点评助力临床精进
4
传承九届——穗华口腔以病例为抓手,筑牢正畸人才培养根基
5
穗华口腔十年庆典圆满举办,粤港澳临床医学学会致贺寄望
查看完整动态>
推荐专家
收起
特色诊疗项目
收起






























































