牙齿拥挤需要矫正吗?
时间:2015-09-21 17:21:34 来源:未知 作者:穗华口腔医院 阅读量:288
导读
牙齿拥挤给生活带来了很多不便,令我们在和别人聊天时感到很自卑,不敢侃侃而谈,微笑时笑不露齿,不敢在人前暴露,让牙齿拥挤患者非常生活得非常不自在......
牙齿拥挤给生活带来了很多不便,令我们在和别人聊天时感到很自卑,不敢侃侃而谈,微笑时“笑不露齿”,不敢在人前暴露,让牙齿拥挤患者非常生活得非常不自在。那么牙齿拥挤需要矫正吗?下文请大家听听穗华口腔专家的说法。
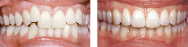
牙齿拥挤矫正前后对比
穗华口腔专家介绍说,牙齿拥挤不止是影响美观这一点,它还有其它很多坏处:
1、形成卫生死角:牙齿拥挤就会给细菌提供很好的避难场所,刷牙时根本就刷不到这些地方,让细菌能够得以生存,继续侵蚀我们的牙齿,极易出现蛀牙和牙龈出血的情况。
2、影响心理健康:如果是儿童或青少年出现了牙齿拥挤的情况,那么他们就会觉得自己与别人不同,自己本身存在着缺陷,他们会将自己看低,不敢交朋友以及与其它人在一起玩耍,整个人会变的非常的孤僻,形成心理疾病。
3、造成面部变形:牙齿拥挤会使整个牙颌骨都受到影响,在生长的过程中容易导致面部器官出现变形的情况,并且时间越长就会越明显,整个面部协调感都遭到破坏。
牙齿拥挤的治疗属于牙齿正畸,不同的医疗机构会有不同的正畸方法。广州穗华口腔为您推荐的正畸方法有美国隐适美矫正技术、时代天使矫正技术、自锁陶瓷托槽校正技术和自锁金属矫正技术。
技术介绍:穗华口腔隐适美矫正是常见错牙合畸形、多学科联合矫治及正颌等疾病的治疗方法,较传统矫牙,具有矫治器隐形、佩戴舒适和复诊次数少等优势,在功能性、舒适度和美观度有提升。Invisalign隐适美牙套上有螺纹图案,具有哑光效果,牙齿即使在戴上牙套后也不会被发觉,实现真正的“隐形”效果。
隐适美矫正治疗方案包括一系列无托槽隐形矫治器,厚度小于1mm,如同隐形眼镜,每套矫治器均量齿定做,每两周进行更换。随着矫治器的更换,牙齿逐步移动,直至矫正到方案所设计的理想位置。
温馨提醒:口腔问题不只影响我们的容貌,更有可能影响全身健康。患有口腔疾病的朋友切不可忽视口腔问题。为了您和家人的健康,一旦发现口腔问题请到专业的口腔医院就医。
(版权归穗华口腔医院所有,如需转载请注明文章来源:穗华口腔医院 http://www.62266666.com)
穗华品牌
穗华口腔医院作为暨南大学授权合作医院,是依托国内外权威硕博专家医资和口腔医学优势所建立的一所集临床、教学、科研、预防为一体的现代化口腔专科医院,开创了中国医疗改革创新示范的先河。
快速通道
医院动态
1
2026穗华口腔“一老一小”专利技术节 | 数智化革新 专利矫好牙
2
2026穗华口腔“一老一小”专利技术节 | 守护天然牙 健康全口牙
3
高手交锋——12位医生同台展示正畸病例,专家点评助力临床精进
4
传承九届——穗华口腔以病例为抓手,筑牢正畸人才培养根基
5
穗华口腔十年庆典圆满举办,粤港澳临床医学学会致贺寄望
查看完整动态>
推荐专家
收起
特色诊疗项目
收起






























































