牙齿缺失影响健康吗?
时间:2015-09-21 17:19:37 来源:未知 作者:穗华口腔医院 阅读量:220
导读
很多人认为牙齿掉一两颗没有关系,照常吃东西,没感觉有什么不妥。其实不然,长期缺牙对口腔局部及全身健康会造成不利的影响,到底有哪些影响呢?请看下......
很多人认为牙齿掉一两颗没有关系,照常吃东西,没感觉有什么不妥。其实不然,长期缺牙对口腔局部及全身健康会造成不利的影响,到底有哪些影响呢?请看下面详细介绍。
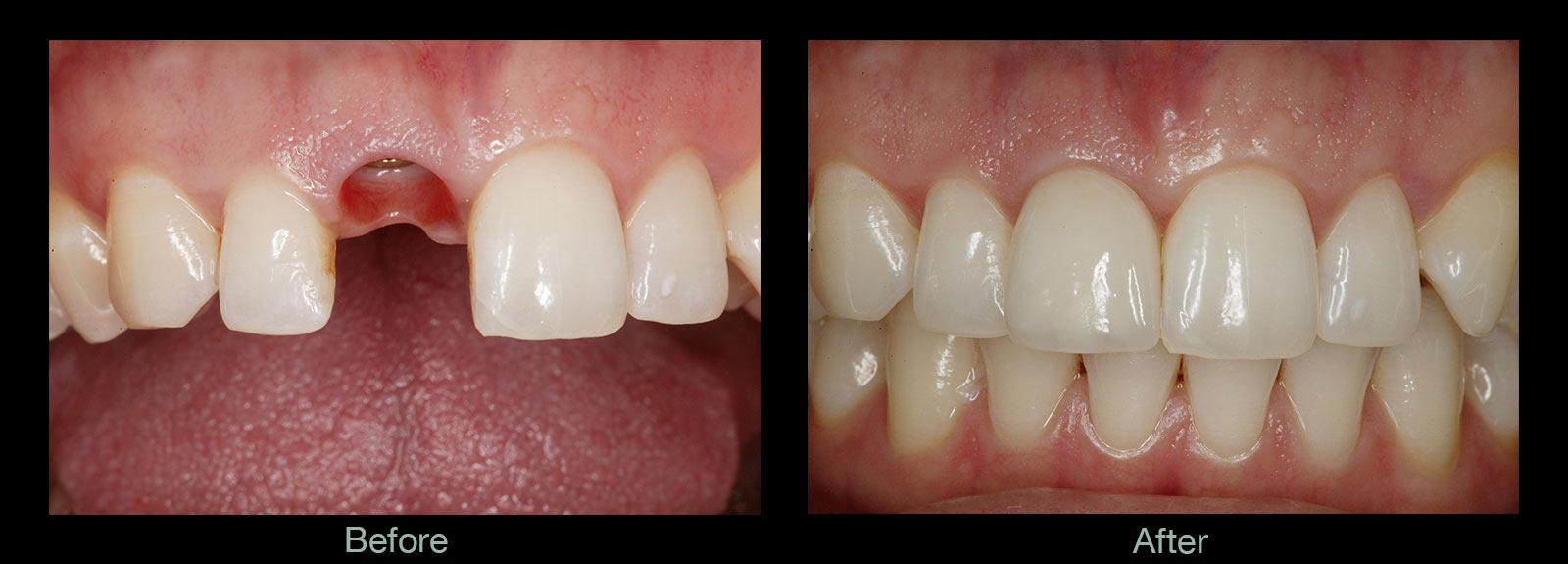
牙齿缺失种植前后对比
下面穗华口腔专家指出牙缺失的几点危害:
1、与缺牙相对的牙齿会过长或下垂。上牙缺失,相对的下牙会过长,明显比邻牙高出一截,形成一个台阶。下牙缺失会造成相对的上牙下垂,也会形成台阶。这些情况都容易造成咬合关系错乱、食物嵌塞(塞牙),以及修复困难。
2、后面的牙齿会向缺牙间隙倒。人的牙齿都有向前移动的趋势,这种趋势是伴随终生的。当前面的牙齿缺失后,后面的牙可能会迅速向前移动,而且一般不是平移,而是向前倾斜的,这样会造成上下牙咬合关系的错乱。
3、牙石堆积。当偏侧咀嚼的习惯形成后,废用一侧的余留牙齿上牙石会大量堆积,牙周健康状况会因此恶化。
4、缺牙区牙槽嵴重度萎缩。由于牙齿缺失,没有了生理性刺激,缺牙区牙槽峭会发生失用性萎缩,随着时间延长会越来越严重,且不可逆,对以后的修复造成非常不利的影响。
因此牙缺失危害不可忽视,应该及早去正规的口腔医院进行修复治疗,以免影响治疗效果,延长治疗时间。
广州穗华口腔,您美牙护牙放心之选!
穗华口腔医院是拥有百年人文底蕴的暨南大学附属口腔医院临床教学医院,是广东省卫生厅批准成立的口腔专科医院,是集口腔诊疗、教学和科研为一体的现代化口腔综合医院,是您看牙的放心信赖之选!为了您的健康,请不要再以工作忙为借口拖延治疗。如果您还有其他问题或需要帮助,可以点击在线咨询,还可以拔打全国免费热线:020-62266666。百度100遍,不如咨询1次。
(版权归穗华口腔医院所有,如需转载请注明文章来源:穗华口腔医院 http://www.62266666.com)
穗华品牌
穗华口腔医院作为暨南大学授权合作医院,是依托国内外权威硕博专家医资和口腔医学优势所建立的一所集临床、教学、科研、预防为一体的现代化口腔专科医院,开创了中国医疗改革创新示范的先河。
快速通道
医院动态
1
2026穗华口腔“一老一小”专利技术节 | 数智化革新 专利矫好牙
2
2026穗华口腔“一老一小”专利技术节 | 守护天然牙 健康全口牙
3
高手交锋——12位医生同台展示正畸病例,专家点评助力临床精进
4
传承九届——穗华口腔以病例为抓手,筑牢正畸人才培养根基
5
穗华口腔十年庆典圆满举办,粤港澳临床医学学会致贺寄望
查看完整动态>
推荐专家
收起
特色诊疗项目
收起






























































