牙齿缺失要怎么修复?
时间:2015-09-21 17:16:23 来源:未知 作者:穗华口腔医院 阅读量:277
导读
由于每个人的口腔状况不同,牙齿健康程度也就不同。牙齿健康程度低所导致的牙齿缺失,特别是门牙缺失,让人很难堪,不敢开口说话,不敢开怀大笑。所以保......
由于每个人的口腔状况不同,牙齿健康程度也就不同。牙齿健康程度低所导致的牙齿缺失,特别是门牙缺失,让人很难堪,不敢开口说话,不敢开怀大笑。所以保护牙齿刻不容缓。那么,牙齿缺失要怎么修复呢?下面是一个实际的案例,让我们来看看牙齿缺失的很好的修复方法。
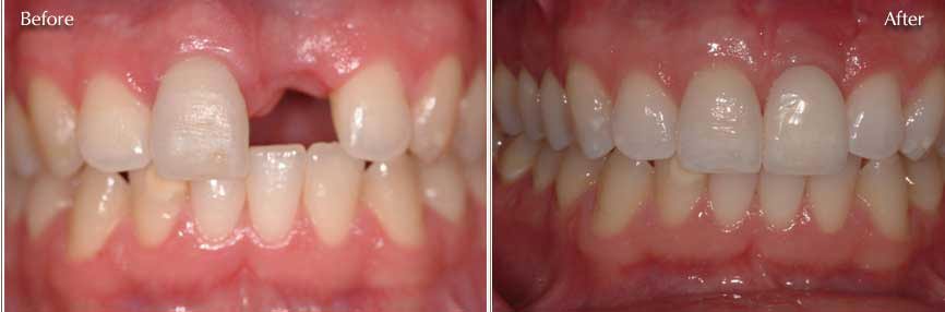
门牙缺失种植前后对比
今年30岁的张小姐,某公司部门主管,在与张小姐的闲谈中了解到她对牙齿的一些认识,在张小姐眼中,她以为牙齿是坚不可摧的,因此,平时对于牙齿没有太注意保护。可是,随着年龄的增长,牙齿清洁的不到位以及牙周炎的出现 ,导致牙齿出现了松动,终发生脱落的现象,这对她的工作以及生活造成了极大的影响。
蒋小姐通过网络了解到穗华口腔是一家专业口腔医疗机构,而且也听朋友提起过,是一家口碑很好的医院,穗华口腔有着经验丰富的专家团队,并且邀请知名种植牙专家定期坐诊。因此,她终选择来到穗华口腔做缺失牙修复。
穗华口腔种植牙专家冯智强给张小姐检查完牙齿后发现,她缺失的牙齿部位牙槽骨已经严重吸收,建议采用种植修复。张小姐在了解了烤瓷牙冠修复以及种植修复的特点之后,选择了3D靶向种植牙。
3D靶向种植牙技术,是暨南大学多位种植名家多年积累的义齿修复技术和经验,与一系列国际前沿齿科设备结合的产物,应用意大利NewTom曲面断层扫描CBCT技术、德国WIELAND CAD/CAM计算机辅助设计与制作技术、美国Ambulanc笑气镇静镇痛系统、丹麦3shape 3D打印技术及3shape TRIOS激光扫描重建技术等,从5个方面打造穗华种植牙“40年预期留存率”超过90%的“长寿基因”!
1、定位更精准:CT3D颌面扫描、CAD设计方案,实现了种植体精准定位。
2、种植更安全:利用激光扫描和3D打印技术制作种植导板(用于精确指导种植体位置和方向的模板),医生在导板辅助下轻松手术,杜绝失误。
3、笑气镇痛更舒适:Ambulanc是目前欧美牙医的镇静镇痛技术,能让牙科恐惧症、晕血症和儿童患者轻松愉悦地“享受”牙科治疗。
4、治好牙周更长寿:种植牙患者大多有牙周病,而不治牙周病,种植牙迟早脱落。穗华口腔拥有华南领先的牙周科,跨科会诊确保高质量种植牙。
5、重建咬合更和谐:种植牙与邻牙不紧密易塞牙,与对牙不协调咀嚼无力。穗华口腔异常重视种植牙的咬合关系,力求让每一颗种植牙都与患者口腔和谐相处。
在告知张小姐治疗方案及费用之后,与之签定了种植协议。在充分准备之后,种植手术在一周后进行。种植手术非常顺利,虽然患者的牙槽骨吸收严重,但是植入人工骨粉之后,骨质完全达到了种植要求,植入3颗种植体之后,手术很顺利的完成了。
在经过一段时间的观察和复诊之后,张小姐的术后伤口愈合的很好,可以进行修复。于是,冯智强再给张小姐除去愈合基台,上基台,然后取模,制冠,后试戴,调合,缺失牙修复效果十分不错。完成种植牙修复之后,张小姐还自称比她原来的真牙还要好,而且在种牙过程中几乎无痛。
在完成种植牙的回访中,张小姐说:“本来以为这辈子掉了的牙齿就再也补不回来了,我还是第一次听说种植牙这个说法,以前只知道做假牙烤瓷牙,来到穗华口腔之后才知道原来种植牙这么好用,谢谢穗华口腔种植专家冯智强的治疗,让我拥有第二幅牙齿,以后可以想吃什么就吃什么了。”
冯医师对张小姐的感谢,表示为患者修复缺失牙是他本应做的事情。在张小姐离开之前, 冯医师还交代了种植牙的术后注意事项,特别让张小姐要注意术后护理,维护好种植牙延长它的使用时间。
广州穗华口腔,您美牙护牙放心之选!
穗华口腔医院是拥有百年人文底蕴的暨南大学附属口腔医院临床教学医院,是广东省卫生厅批准成立的口腔专科医院,是集口腔诊疗、教学和科研为一体的现代化口腔综合医院,是您看牙的放心信赖之选!为了您的健康,请不要再以工作忙为借口拖延治疗。如果您还有其他问题或需要帮助,可以点击在线咨询,还可以拔打全国免费热线:020-62266666。百度100遍,不如咨询1次。
(版权归穗华口腔医院所有,如需转载请注明文章来源:穗华口腔医院 http://www.62266666.com)
穗华品牌
穗华口腔医院作为暨南大学授权合作医院,是依托国内外权威硕博专家医资和口腔医学优势所建立的一所集临床、教学、科研、预防为一体的现代化口腔专科医院,开创了中国医疗改革创新示范的先河。
快速通道
医院动态
1
2026穗华口腔“一老一小”专利技术节 | 数智化革新 专利矫好牙
2
2026穗华口腔“一老一小”专利技术节 | 守护天然牙 健康全口牙
3
高手交锋——12位医生同台展示正畸病例,专家点评助力临床精进
4
传承九届——穗华口腔以病例为抓手,筑牢正畸人才培养根基
5
穗华口腔十年庆典圆满举办,粤港澳临床医学学会致贺寄望
查看完整动态>
推荐专家
收起
特色诊疗项目
收起






























































