牙齿意外缺损了怎么办?
时间:2015-09-21 16:57:42 来源:未知 作者:穗华口腔医院 阅读量:301
导读
生活总有不如意的地方,就像我们的牙齿,意外导致缺损了,从此变得不自信起来,总会笑不露齿生怕自己的牙齿成了他人笑话,使自己的形象大打折扣。那么牙......
生活总有不如意的地方,就像我们的牙齿,意外导致缺损了,从此变得不自信起来,总会“笑不露齿”生怕自己的牙齿成了他人笑话,使自己的形象大打折扣。那么牙齿意外缺损了怎么办?下面请听穗华口腔专家给我们做的详细介绍。
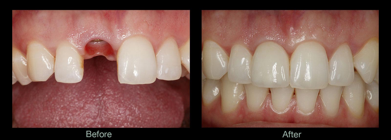
种植牙前后对比
陈小姐是广州某外企经理,去年,在一次意外摔倒事故中,把左侧门牙给磕掉了,这成了她的困扰,外企是个讲究形象的地方,陈小姐由于工作的关系,经常和各部门的人打交道,缺牙让她感觉形象大打折扣,还被人背后议论。于是,陈小姐在网上查找了很多缺失牙修复的信息,也去过一些医院,可是因为缺牙时间太久,陈小姐被拒绝了很多次。
在陈小姐无望的时候,朋友向她推荐了穗华口腔,穗华口腔拥有先进的3D靶向种植牙技术,而且环境优雅干净,陈小姐被这些所打动。随后来到穗华口腔,专家经过一系列检查后,专家依据陈小姐的要求,采用安全无痛、舒适美观、坚固耐用等优点,陈小姐采用了3D靶向种植牙技术。
3D靶向种植牙技术
3D靶向种植牙技术,是暨南大学多位种植名家多年积累的义齿修复技术和经验,与一系列国际前沿齿科设备结合的产物,应用意大利NewTom曲面断层扫描CBCT技术、德国WIELAND CAD/CAM计算机辅助设计与制作技术、美国Ambulanc笑气镇静镇痛系统、丹麦3shape 3D打印技术及3shape TRIOS激光扫描重建技术等,从5个方面打造穗华种植牙“40年预期留存率”超过90%的“长寿基因”!
1、定位更精准:CT3D颌面扫描、CAD设计方案,实现了种植体精准定位。
2、种植更安全:利用激光扫描和3D打印技术制作种植导板(用于精确指导种植体位置和方向的模板),医生在导板辅助下轻松手术,杜绝失误。
3、笑气镇痛更舒适:Ambulanc是目前欧美牙医的镇静镇痛技术,能让牙科恐惧症、晕血症和儿童患者轻松愉悦地“享受”牙科治疗。
4、治好牙周更长寿:种植牙患者大多有牙周病,而不治牙周病,种植牙迟早脱落。穗华口腔拥有华南领先的牙周科,跨科会诊确保高质量种植牙。
5、重建咬合更和谐:种植牙与邻牙不紧密易塞牙,与对牙不协调咀嚼无力。穗华口腔异常重视种植牙的咬合关系,力求让每一颗种植牙都与患者口腔和谐相处。
做完种植牙后,张小姐恢复了昔日的灿烂笑容,陈小姐的工作也是更加得心应手了。
本文章的阐述只能做为一个参考,无法针对您个人的实际状况,建议您与在线医生及时沟通,以便更好地帮助您解决问题。请向在线医生详细阐述您的问题,在了解您的状况后,医生将依据此来帮助解决您的困扰! 还可以拔打全国免费热线:020-62266666。百度100遍,不如咨询1次。
(版权归穗华口腔医院所有,如需转载请注明文章来源:穗华口腔医院 http://www.62266666.com)
穗华品牌
穗华口腔医院作为暨南大学授权合作医院,是依托国内外权威硕博专家医资和口腔医学优势所建立的一所集临床、教学、科研、预防为一体的现代化口腔专科医院,开创了中国医疗改革创新示范的先河。
快速通道
医院动态
1
2026穗华口腔“一老一小”专利技术节 | 数智化革新 专利矫好牙
2
2026穗华口腔“一老一小”专利技术节 | 守护天然牙 健康全口牙
3
高手交锋——12位医生同台展示正畸病例,专家点评助力临床精进
4
传承九届——穗华口腔以病例为抓手,筑牢正畸人才培养根基
5
穗华口腔十年庆典圆满举办,粤港澳临床医学学会致贺寄望
查看完整动态>
推荐专家
收起
特色诊疗项目
收起






























































