门牙缺失了可怎么好?
时间:2015-09-18 16:44:40 来源:未知 作者:穗华口腔医院 阅读量:306
导读
门牙缺失是容易被看到的地方,无论是说话还是微笑,让我们的形象大打折扣,还会导致发音不准,给生活带来了很多不便,那么门牙缺失可怎么好?下文为大家......
门牙缺失是容易被看到的地方,无论是说话还是微笑,让我们的形象大打折扣,还会导致发音不准,给生活带来了很多不便,那么门牙缺失可怎么好?下文为大家介绍弥补门牙缺失的方法。
撞伤的门牙,应该及时到口腔医院去检查,看看有没有其他部位的摔伤。比如:除了门牙摔伤外,有无牙根处的骨折,牙根有无折断。必要时医生给您做特殊的检查,摄X线片,明确诊断以便治疗。
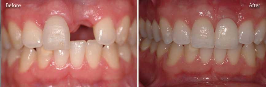
种植牙是治疗牙齿缺失非常好的修复方法,这已经是被公认的事实。门牙缺失非常适合做种植修复,种植修复不伤牙龈,还可以改善牙龈的生态环境,做好了跟真牙一样,种植牙清洁起来也方便。
门牙缺失种植前后对比
穗华口腔推荐3D靶向种植术
穗华口腔引进的3D靶向种植术是暨南大学多位种植名家多年积累的义齿修复技术和经验,与一系列国际前沿齿科设备结合的产物,应用意大利NewTom曲面断层扫描CBCT技术、德国WIELAND CAD/CAM计算机辅助设计与制作技术、美国Ambulanc笑气镇静镇痛系统、丹麦3shape 3D打印技术及3shape TRIOS激光扫描重建技术等,从5个方面打造穗华种植牙“40年预期留存率”超过90%的“长寿基因”!具有以下的优点:
1、CT3D颌面扫描,定位更精准 2、华南领先牙周科,治好牙周更长寿
3、笑气镇痛更舒适,轻松享受 4、重建咬合更和谐,坚固耐用
广州穗华口腔,您的美牙护理专家
穗华口腔医院是拥有百年人文底蕴的暨南大学附属口腔医院临床教学医院,是广东省卫生厅批准成立的口腔专科医院,是集口腔诊疗、教学和科研为一体的现代化口腔综合医院,是您看牙的放心信赖之选! 如果您还有其他问题或需要帮助,可以点击在线咨询,还可以拔打全国免费热线:020-62266666。百度100遍,不如咨询1次。
(版权归穗华口腔医院所有,如需转载请注明文章来源:穗华口腔医院 http://www.62266666.com)
穗华品牌
穗华口腔医院作为暨南大学授权合作医院,是依托国内外权威硕博专家医资和口腔医学优势所建立的一所集临床、教学、科研、预防为一体的现代化口腔专科医院,开创了中国医疗改革创新示范的先河。
快速通道
医院动态
1
2026穗华口腔“一老一小”专利技术节 | 数智化革新 专利矫好牙
2
2026穗华口腔“一老一小”专利技术节 | 守护天然牙 健康全口牙
3
高手交锋——12位医生同台展示正畸病例,专家点评助力临床精进
4
传承九届——穗华口腔以病例为抓手,筑牢正畸人才培养根基
5
穗华口腔十年庆典圆满举办,粤港澳临床医学学会致贺寄望
查看完整动态>
推荐专家
收起
特色诊疗项目
收起






























































