牙齿美白用什么方法好?
时间:2015-09-11 16:54:41 来源:未知 作者:穗华口腔医院 阅读量:207
导读
随着现代牙科医疗技术的发展,牙齿美白的方法越来越多,可供选择的牙齿美白技术也越来越多,目前皓齿美白牙齿方法就是非常先进的了,下面请穗华口腔专家......
随着现代牙科医疗技术的发展,牙齿美白的方法越来越多,可供选择的牙齿美白技术也越来越多,目前皓齿美白牙齿方法就是非常先进的了,下面请穗华口腔专家为大家做详细的介绍。
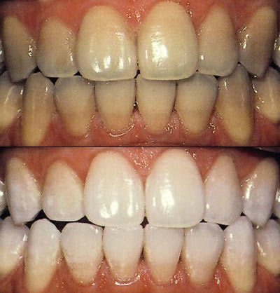
牙齿美白前后对比
穗华口腔皓齿美白技术采用恒温纳米光,是现阶段的牙齿美白技术。它是在冷光美白的基础上,氧化氢加硝酸钾和氟化物结合的美白方式,打破了传统冷光美白的局限性,克服了传统冷光美白时牙齿酸痛,美白后牙龈过敏的窘境,具有高效快速、保护牙齿、舒适无痛、效果持久等优点。
1、即刻美白。15分钟美白,缩短治疗时间,减少患者张口时长,美白程度迅速提高5-14个色阶。
2、健康环保。操作过程不接触牙龈,完全避免了对牙神经伤害,同时对牙结构不会造成任何伤害。
3、自然美观。通过氟化剂保护牙齿,分解深层牙色素。让牙齿自然洁白,富光泽、有透明感。
4、持久美白。氟化剂促使牙釉质新生而形成对牙齿的保护,美白效果更加明显,更持久。
广州穗华口腔,您的美牙护理专家
穗华口腔医院是拥有百年人文底蕴的暨南大学附属口腔医院临床教学医院,是广东省卫生厅批准成立的口腔专科医院,是集口腔诊疗、教学和科研为一体的现代化口腔综合医院,是您看牙的放心信赖之选! 如果您还有其他问题或需要帮助,可以点击在线咨询,还可以拔打全国免费热线:020-62266666。百度100遍,不如咨询1次。
(版权归穗华口腔医院所有,如需转载请注明文章来源:穗华口腔医院 http://www.62266666.com)
穗华品牌
穗华口腔医院作为暨南大学授权合作医院,是依托国内外权威硕博专家医资和口腔医学优势所建立的一所集临床、教学、科研、预防为一体的现代化口腔专科医院,开创了中国医疗改革创新示范的先河。
快速通道
医院动态
1
2026穗华口腔“一老一小”专利技术节 | 数智化革新 专利矫好牙
2
2026穗华口腔“一老一小”专利技术节 | 守护天然牙 健康全口牙
3
高手交锋——12位医生同台展示正畸病例,专家点评助力临床精进
4
传承九届——穗华口腔以病例为抓手,筑牢正畸人才培养根基
5
穗华口腔十年庆典圆满举办,粤港澳临床医学学会致贺寄望
查看完整动态>
推荐专家
收起
特色诊疗项目
收起






























































