烤瓷牙失败修复哪间医院好?
时间:2015-09-04 18:05:06 来源:未知 作者:穗华口腔医院 阅读量:323
导读
对于烤瓷牙失败修复,对技术要求非常高,广州穗华口腔专家建议患者需要谨慎选择正规、专业医院,才能保证治疗的安全性以及效果。那么烤瓷牙失败修复哪间......
对于烤瓷牙失败修复,对技术要求非常高,广州穗华口腔专家建议患者需要谨慎选择正规、专业医院,才能保证治疗的安全性以及效果。那么烤瓷牙失败修复哪间医院好?请看下文介绍。
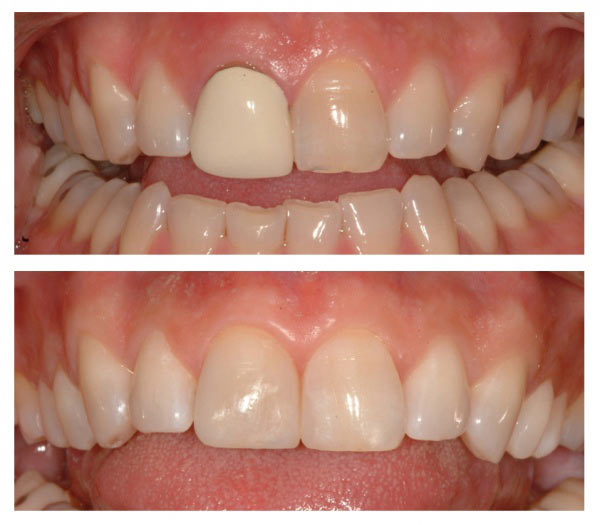
烤瓷牙修复前后对比
烤瓷牙失败利用牙齿美容修复治疗,对技术要求非常严谨,它是通过电脑3D定位后,牙齿成形后美观大方,色泽自然,不拔牙安全无痛,比正常牙齿更坚固,高效快速。
广州穗华口腔医院运用德国VITA比色技术,常年保持美丽天然的光泽,使成形后的牙齿达到完美的色阶统一。治疗采用无痛技术,美容后的牙齿恢复了口腔正常的发音且不需动及牙齿根部,保证良好的人体亲和性和口感舒适性。牙齿美容修复咀嚼时的力量作用在牙冠上,采用金属与陶瓷粉相结合,足以承受咀嚼力,使牙冠比自然牙更坚固,科技的粘贴技术,终生不脱落。你仅需来院两次,只需7天时间就可轻松拥有一口靓牙。因此,可以说牙齿美容修复是目前改善烤瓷牙失败牙齿问题的选择。
上面就是关于烤瓷牙失败修复哪间医院好?的详细介绍,相信你对此有一定的认识。如果您还有什么问题,可以点击在线咨询,还可以拔打全国免费热线:020-62266666。百度100遍,不如咨询1次。
(版权归穗华口腔医院所有,如需转载请注明文章来源:穗华口腔医院 http://www.62266666.com)
穗华品牌
穗华口腔医院作为暨南大学授权合作医院,是依托国内外权威硕博专家医资和口腔医学优势所建立的一所集临床、教学、科研、预防为一体的现代化口腔专科医院,开创了中国医疗改革创新示范的先河。
快速通道
医院动态
1
2026穗华口腔“一老一小”专利技术节 | 数智化革新 专利矫好牙
2
2026穗华口腔“一老一小”专利技术节 | 守护天然牙 健康全口牙
3
高手交锋——12位医生同台展示正畸病例,专家点评助力临床精进
4
传承九届——穗华口腔以病例为抓手,筑牢正畸人才培养根基
5
穗华口腔十年庆典圆满举办,粤港澳临床医学学会致贺寄望
查看完整动态>
推荐专家
收起
特色诊疗项目
收起






























































