穗华口腔专家讲解关于牙齿美容修复的疑问
时间:2015-09-04 18:03:01 来源:未知 作者:穗华口腔医院 阅读量:267
导读
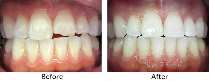
很多牙齿患者对于牙齿美容修复有很多疑问,针对牙齿患者们提出的问题,穗华口腔专家在此作出详细的解答。 牙齿美容修复前后对比 牙齿美容修复技术对牙齿有......
很多牙齿患者对于牙齿美容修复有很多疑问,针对牙齿患者们提出的问题,穗华口腔专家在此作出详细的解答。
牙齿美容修复前后对比
“牙齿美容修复技术对牙齿有伤害吗?”
穗华口腔专业医师回答,“牙齿美容修复技术无痛、不拔牙、不伤及牙根,仅仅磨除一部分牙体进行预备,这个过程也是完全安全、无痛的。”穗华口腔医师提醒磨牙是为了开辟一个让能修复体固位的良好的空间,是保证修复体强度、厚度和美观的一个必不可少的步骤,既保证牙体的制备质量与固位,改善了牙齿的正常功能和美观效果。
“牙齿组织神经坏死,需要拔髓了怎么办,牙齿变色怎么办?”
穗华口腔专业医师回答,“牙齿牙髓坏死后失去了神经,没有营养供给,需要通过“牙齿美容修复”技术来保护,否则拔除牙髓的牙齿很容易变色、碎裂,到时候再治疗就麻烦一些了。”
“做过牙齿美容修复后能看出来吗?”
穗华口腔专业医师回答,“注意牙齿颜色和皮肤颜色的协调、牙齿外形与面部五官大小比例协调。”牙齿美容修复采用德国VITA-26阶比色技术,选择更适宜肤色的自然牙齿颜色,并通过3D定位技术对牙齿大小、方向、形态、色泽进行综合分析测量,设计个性化方案。牙齿美容修复的内冠是瓷,是一种透明的骨架,层次、色泽接近真牙,对光线的反射更接近天然牙。导热性能很低,是黄金的1/17,这样更利于保护牙髓;质量轻,密度是黄金的1/4,佩戴更舒适。
对于牙齿美容修复的一些问题,相信你已经有所了解。穗华口腔医院是拥有百年人文底蕴的暨南大学附属口腔医院临床教学医院,是广东省卫生厅批准成立的口腔专科医院,是集口腔诊疗、教学和科研为一体的现代化口腔综合医院,是您看牙的放心信赖之选!由于篇幅有限,如果您还有其他疑问或需要帮助,还可以点击在线咨询,或者拔打免费热线:020-62266666。百度100遍,不如咨询1次。
(版权归穗华口腔医院所有,如需转载请注明文章来源:穗华口腔医院 http://www.62266666.com)
穗华品牌
穗华口腔医院作为暨南大学授权合作医院,是依托国内外权威硕博专家医资和口腔医学优势所建立的一所集临床、教学、科研、预防为一体的现代化口腔专科医院,开创了中国医疗改革创新示范的先河。
快速通道
医院动态
1
2026穗华口腔“一老一小”专利技术节 | 数智化革新 专利矫好牙
2
2026穗华口腔“一老一小”专利技术节 | 守护天然牙 健康全口牙
3
高手交锋——12位医生同台展示正畸病例,专家点评助力临床精进
4
传承九届——穗华口腔以病例为抓手,筑牢正畸人才培养根基
5
穗华口腔十年庆典圆满举办,粤港澳临床医学学会致贺寄望
查看完整动态>
推荐专家
收起
特色诊疗项目
收起






























































