成人黑牙怎么美白
时间:2015-08-30 14:50:16 来源:未知 作者:穗华口腔医院 阅读量:151
导读
相信无论是谁,对牙齿又黄又黑内心是十分厌恶的。不当令自己心理不舒服,还让别人感觉脏,所以解决黑牙的问题,就是解开人际关系的一道枷锁。那么黑牙怎......
相信无论是谁,对牙齿又黄又黑内心是十分厌恶的。不当令自己心理“不舒服”,还让别人感觉“脏”,所以解决黑牙的问题,就是解开人际关系的一道枷锁。那么黑牙怎么美白好呢?
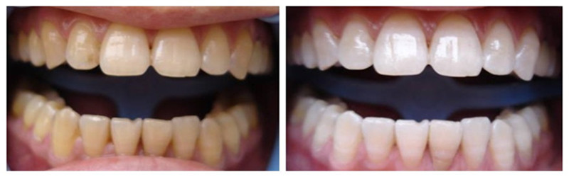
穗华口腔医院专家指出,如果是长期的抽烟造成牙齿变“黑”,洁牙即可洁白。
黑黑的牙齿影响牙齿的美观,时间久了,黑牙还会影响患者的心理健康。吸烟牙黑主要是由于长期吸烟导致烟垢沉淀在牙齿上所形成的外源性色素牙,这种外源性色素牙是不能单单靠刷牙的方式解决的。
穗华口腔德国卡瓦气动喷砂无痛洁牙主要是去除残留在牙齿的沉淀物,可以很好的对牙齿的一些疾病带来预防作用,如预防龋齿、预防牙周病、防止口臭等,一般建议大约一年需要彻底清洁一次,口腔卫生较差,半年就需要洁牙了;有牙周病的人,在牙周病未受控制阶段,三个月洗牙一次对控制病情有帮助。

皓齿美白,美牙亮白如新
穗华口腔医院美白技术采用恒温纳米光,是现阶段的牙齿美白技术。它在冷光美白的基础上,首创过氧化氢加硝酸钾和氟化物结合的美白方式,打破了传统冷光美白的局限性,克服了传统冷光美白时牙齿酸痛,美白后牙龈过敏的窘境,具有高效快速、保护牙齿、舒适无痛、效果持久等优点。
如果您还想了解更多的情况,欢迎在线免费咨询穗华口腔医院专家,或拔打我们的热线:020-62266666,也欢迎您到我们医院现场咨询,穗华口腔专家将竭诚为您服务。
(版权归穗华口腔医院所有,如需转载请注明文章来源:穗华口腔医院 http://www.62266666.com)
穗华品牌
穗华口腔医院作为暨南大学授权合作医院,是依托国内外权威硕博专家医资和口腔医学优势所建立的一所集临床、教学、科研、预防为一体的现代化口腔专科医院,开创了中国医疗改革创新示范的先河。
快速通道
医院动态
1
2026穗华口腔“一老一小”专利技术节 | 数智化革新 专利矫好牙
2
2026穗华口腔“一老一小”专利技术节 | 守护天然牙 健康全口牙
3
高手交锋——12位医生同台展示正畸病例,专家点评助力临床精进
4
传承九届——穗华口腔以病例为抓手,筑牢正畸人才培养根基
5
穗华口腔十年庆典圆满举办,粤港澳临床医学学会致贺寄望
查看完整动态>
推荐专家
收起
特色诊疗项目
收起






























































